症例・治療例紹介
Cases
最新の症例
出っ歯を治したい 深いかみあわせ インビザラインで治療


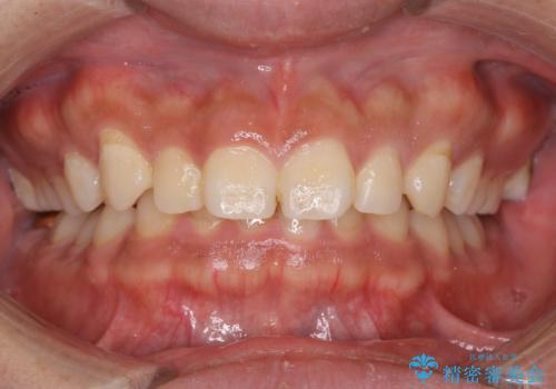
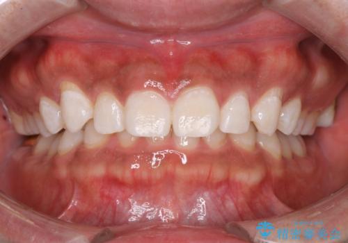
変色した前歯 根の治療とセラミックで白い歯に


昔ワイヤー矯正をして後戻りした 軽度のがたつき モニター矯正


はじめてのオフィスホワイトニング
担当医 歯科衛生士


インビザライン モニターで前歯をきれいに
担当医 井上季実子


八重歯 上下の正中のずれ 40代で抜歯矯正
担当医 井上季実子


挺出小矯正を行った縁下カリエス治療


前歯の変色 セラミッククラウンによる審美性の回復
担当医 大元洋佑


前歯のクロスバイトを改善 ワイヤー装置での非抜歯矯正


前歯の突出感とデコボコをインビザライン矯正で改善
担当医 藤巻太一朗


舌突出癖で口元が開いてしまう 舌トレーニングを行ったインビザライン矯正


カリエールディスタライザーを併用した、咬み合わせ改善のインビザライン矯正


インビザラインが続けられない ワイヤー矯正での抜歯矯正 その2






