症例・治療例紹介
Cases
最新の症例
デコボコで磨きにくい前歯をスッキリと インビザライン矯正


被せものが入れられない 外科処置を行ったセラミック治療


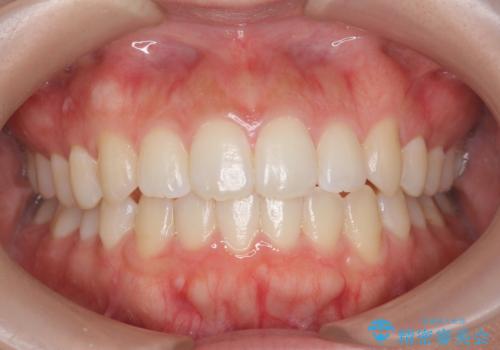
【モニター】飛び出した上顎前歯のワイヤー矯正で改善
担当医 藤巻太一朗


つぎはぎとグレーに透ける色が気になる 前歯のオールセラミッククラウン治療


前歯をきれいにしたい
担当医 大元洋佑


仮詰めのまま処置が進まないので転院 奥歯のむし歯治療


前歯が反対に咬んでいる インビザラインによる矯正治療


重度のガタガタと出っ歯をワイヤーによる抜歯矯正で整った歯並びへ


インビザライン中の方へブラッシング指導
担当医 歯科衛生士


生まれつき歯が少ない 20代でインプラント治療


古くなった銀歯をやりかえたい


数年ぶりに歯科医院に来た 歯を綺麗にしたい
担当医 歯科衛生士


八重歯をインビザラインで非抜歯矯正






