症例・治療例紹介
Cases
最新の症例
上顎の内側に歯が生えていて気になる。(静脈内鎮静下での抜歯)
担当医 青山卓弘


歯のがたつき インビザラインで矯正


歯の高さがない 被せ物のやりなおし


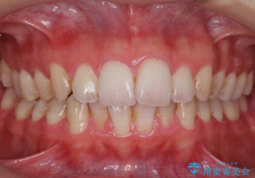
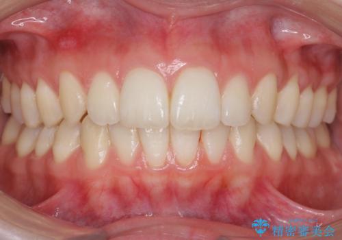
前歯のがたつきをしっかり治すマウスピース矯正
担当医 大元洋佑


ワイヤー矯正がしたい


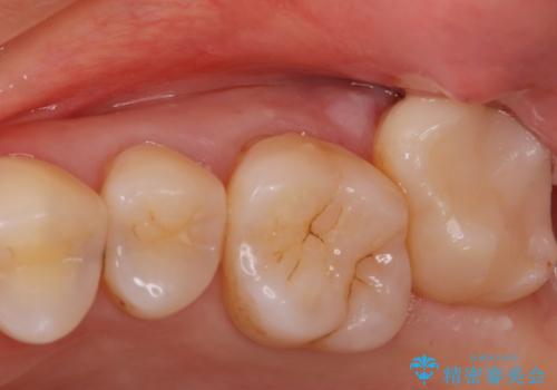
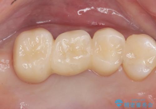
[ セラミック治療 ] 虫歯でつぎはぎになってしまった歯をきれいにしたい
担当医 大元洋佑
![[ セラミック治療 ] 虫歯でつぎはぎになってしまった歯をきれいにしたいの症例 治療前](https://seimitsushinbi.jp/wp/wp-content/uploads/2023/11/97b046ffd9b5b3b60d51f437c4943149-500x350.jpg?v=1700791880)
![[ セラミック治療 ] 虫歯でつぎはぎになってしまった歯をきれいにしたいの症例 治療後](https://seimitsushinbi.jp/wp/wp-content/uploads/2023/11/e5fb48a77a0a81d51a52e838569890a9-500x350.jpg?v=1700791903)
受け口、すきっ歯を インビザラインで モニター治療


奥歯のかみ合わせも妥協しない インビザライン治療


歯の着色を落としたい
担当医 歯科衛生士


歯の神経を守る、精密な虫歯治療の実践
担当医 大元洋佑


保険で被せた白い被せ物をやりかえたい。
担当医 青山卓弘


仮歯のまま放置していた前歯をセラミックに
担当医 大元洋佑








