症例・治療例紹介
Cases
最新の症例
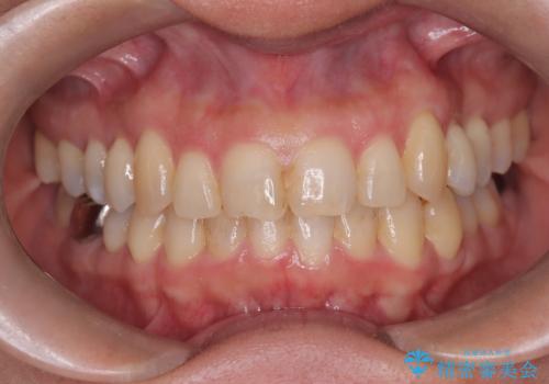
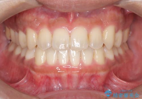
咬み合わせの乱れを改善 ワイヤー装置で楽々矯正治療
担当医 藤巻太一朗


気になる八重歯 ワイヤー装置での非抜歯矯正


上顎骨幅が狭い 急速拡大装置を併用した抜歯矯正


開咬とデコボコを整える インビザライン矯正治療


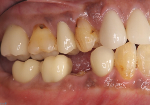
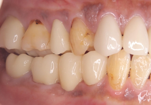
痛みでうずく 根管治療と補綴治療


デコボコと変色した前歯 抜歯矯正と審美歯科治療


飛び出した前歯を引っ込めたい ワイヤー装置での抜歯矯正


抜歯と言われた前歯 牽引してセラミッククラウンで保存する


【変色歯】コンポジットレジンからセラミックへ
担当医 河口智英


被せ物がとれた オールセラミックによるブリッジ治療


【ワイヤー矯正】前歯のがたがたをなおしたい
担当医 河口智英


樋状根(といじょうこん)の根管治療
担当医 河口智英








