症例詳細
Case detail
右下の親知らずを抜きたい 親知らず抜歯
治療症例の内容
- 診療科目
- 治療カテゴリ
- 担当医
- 有澤哲郎(ドクタープロフィール)
- 患者様
- 20代男性
- 治療期間
- 1ヶ月
- 治療回数
- 2-5回
- 治療計画
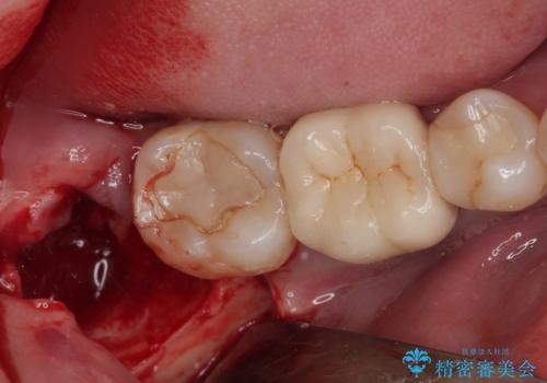
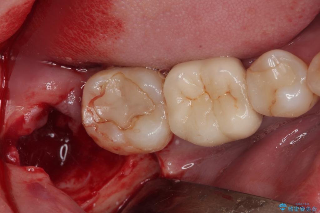
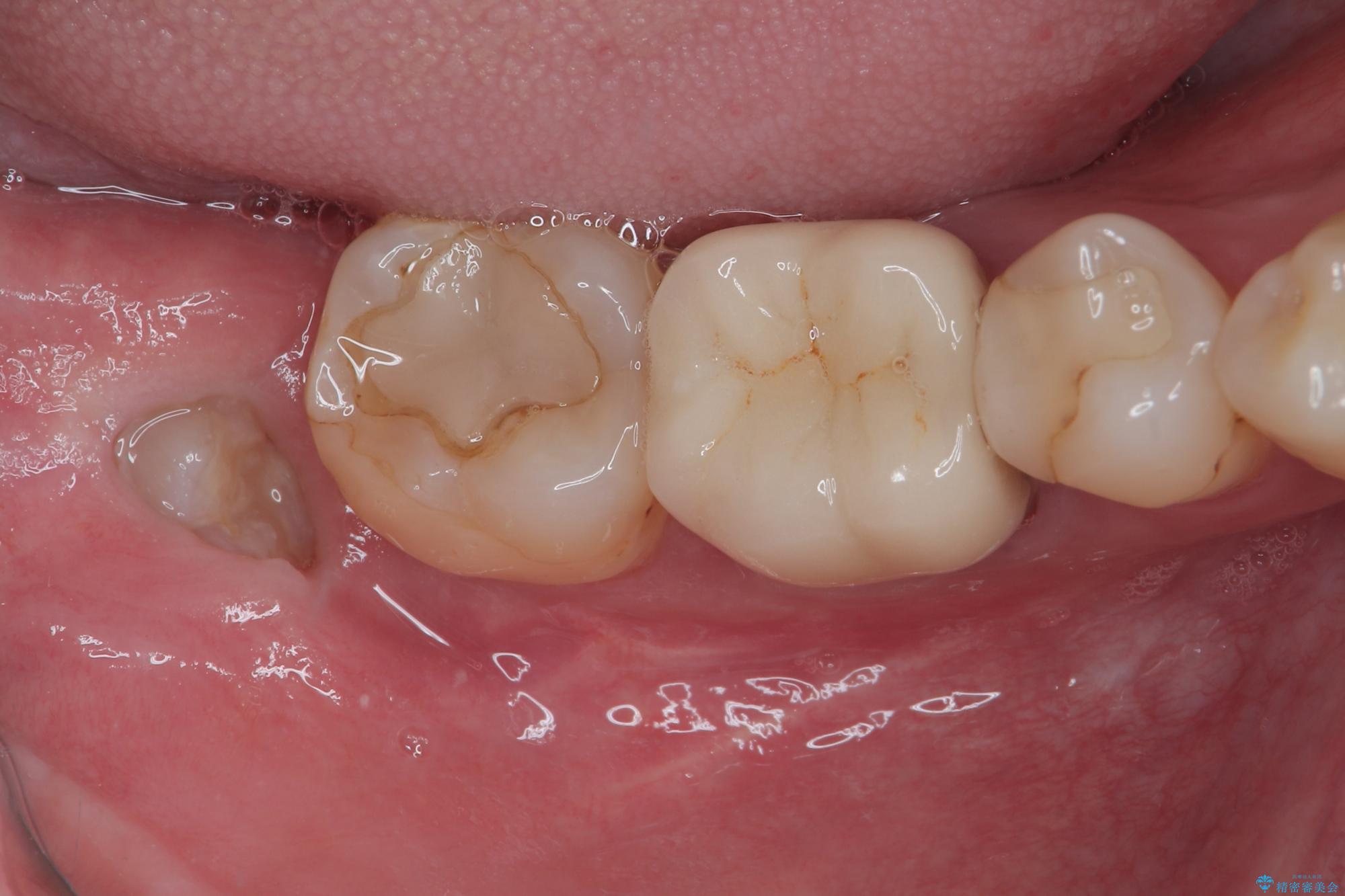
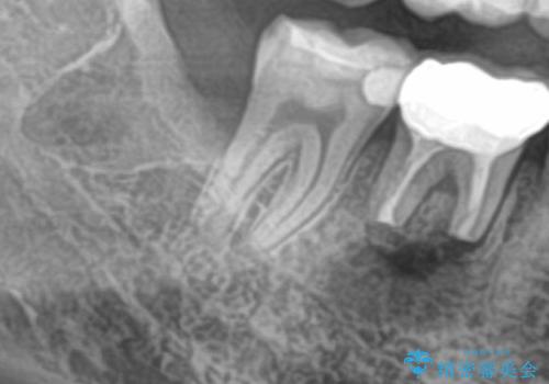
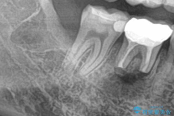
- 右下の親知らずを抜きたいとのことで来院された患者様です。
CTで神経の位置などを確認し、抜歯術を行いました。
一週間後に抜糸を行いました。
- 費用(概算)
- 保険診療費用は治療当時の料金となります
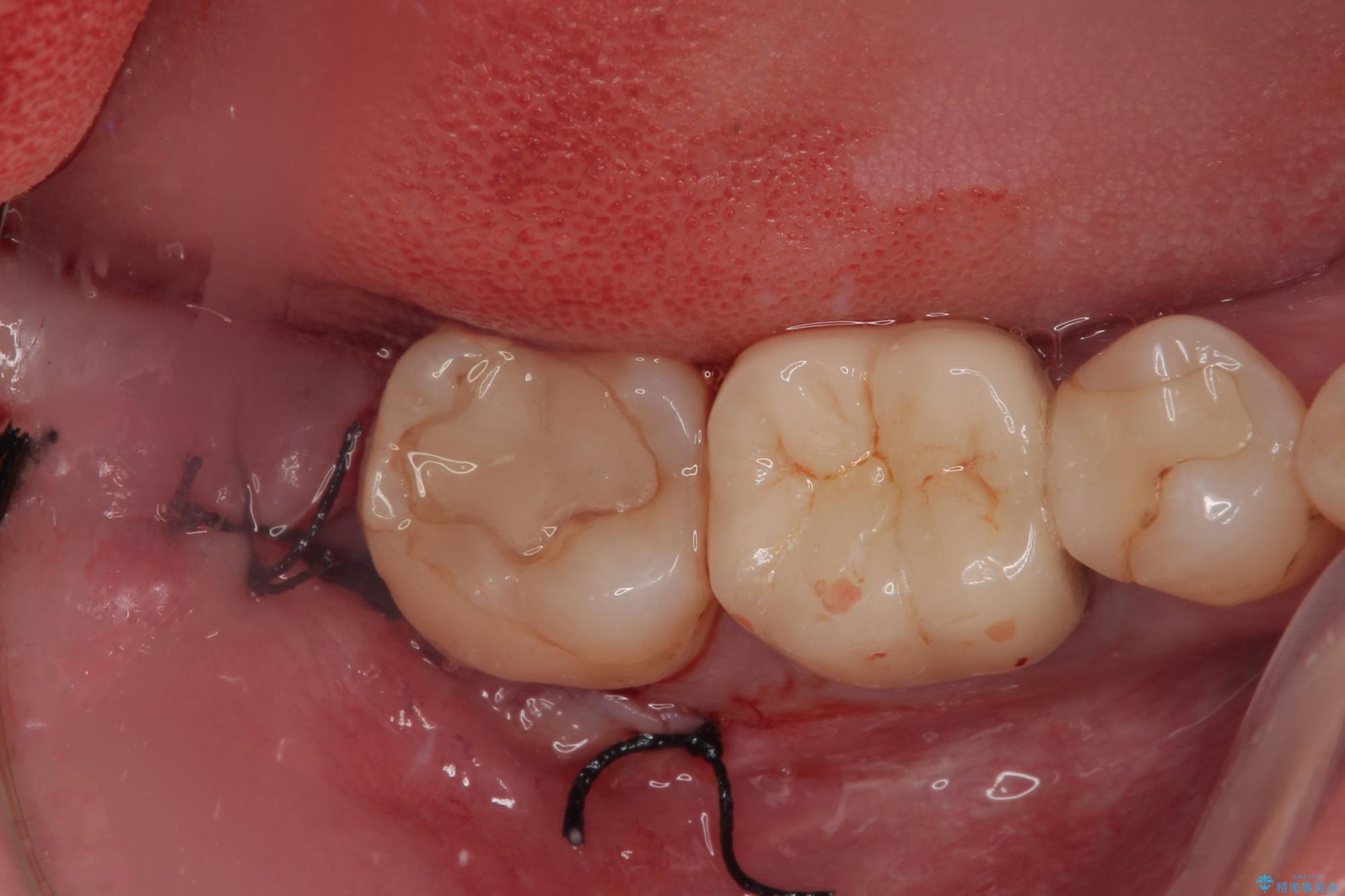
治療について
しっかり麻酔が効いたことを確認してから安全に抜歯を行いました。
外科処置の注意事項(リスク・副作用など)
- 外科手術のため、術後に出血、痛みや腫れ、違和感を伴います
- 口腔内の状態によっては適応できないことがあります
保険治療の注意事項(リスク・副作用など)
- 保険医が保険医療機関において健康保険法、医師法、医療法等の各種関係法令の規定を遵守し、『療養担当規則』の規定を遵守し、医学的に妥当適切な診療を行い、診療報酬点数表に定められたとおりに請求を行っています
- 使用する材料・素材や治療方法に制約があります
- 健康保険適用となります
当サイトの内容、テキスト、画像等の無断転載、複製、複写、盗用を固く禁じます。





