症例・治療例紹介
Cases
Dr. 河口智英の症例写真
2ページ目 / 34
奥歯の激しい痛みを解消し、歯を長持ちさせる精密治療


前歯の破折も1日で解決!抜歯即時インプラントで自然な笑顔へ


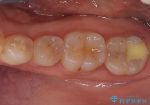
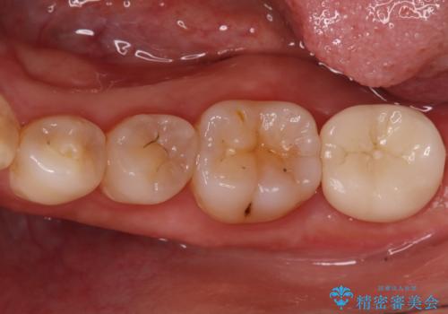
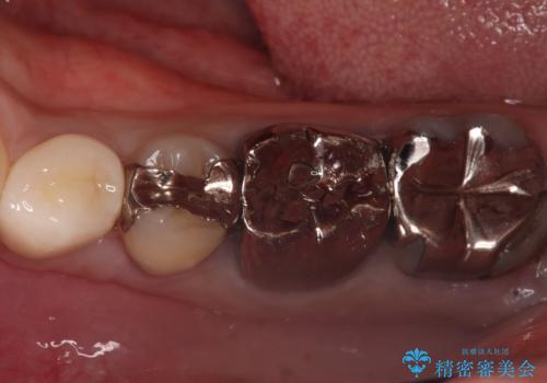
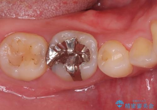
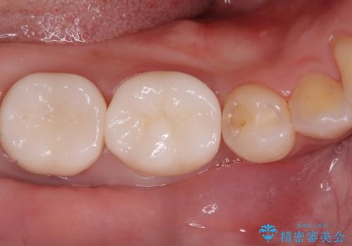
神経を抜かずに深い虫歯を治療
担当医 河口智英


歯と歯の間の虫歯もセラミックで再発防止
担当医 河口智英


歯の根元の虫歯も精密治療で解決
担当医 河口智英


歯のひび割れによる奥歯の痛みも即日解決


前歯のクラウンをやり変え、歯肉のラインも美しく
担当医 河口智英


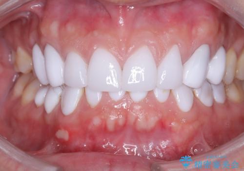
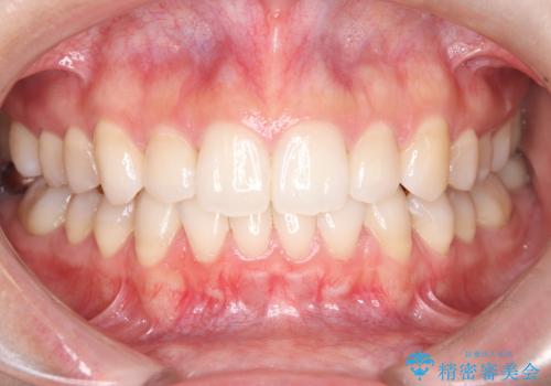
前歯のデコボコと開口を改善し、美しい口元へ
担当医 河口智英


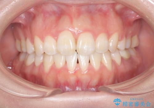
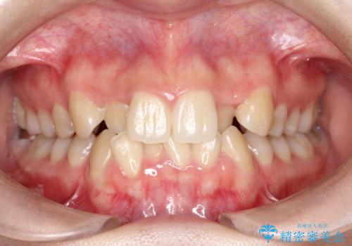
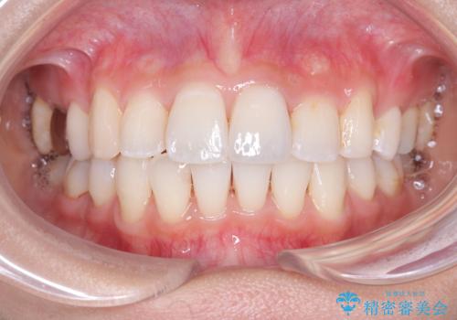
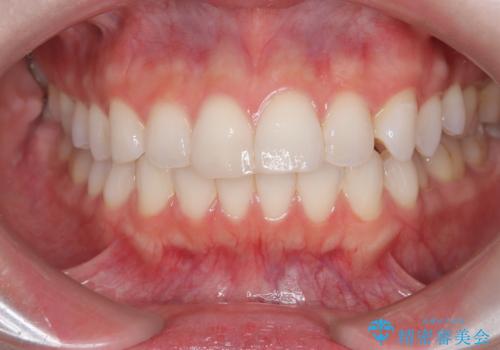
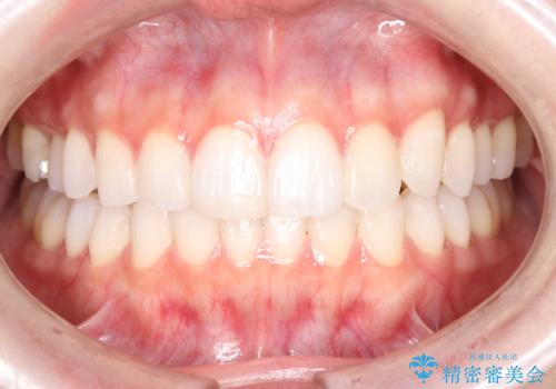
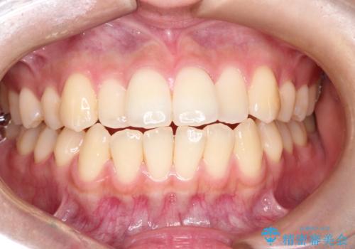
前歯のデコボコと深い咬み合わせを解消


目立たない矯正で歯のデコボコと反対咬合を改善
担当医 河口智英


目立たない矯正で口元をすっきりと
担当医 河口智英


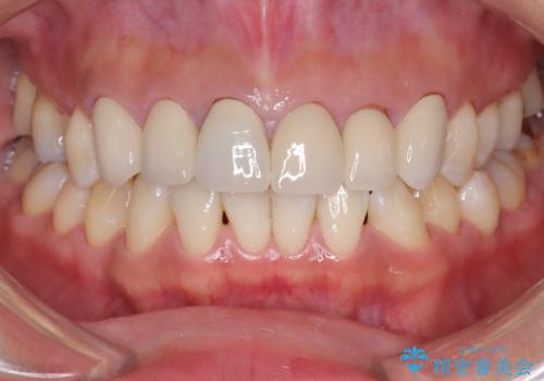
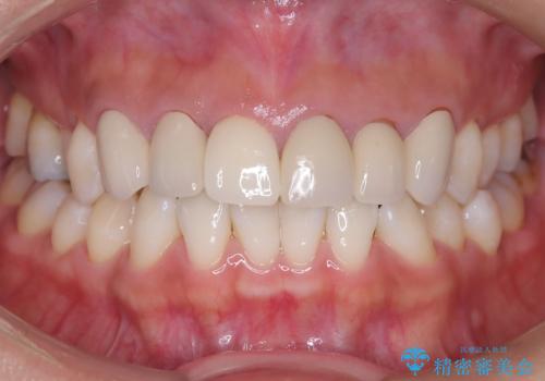
歯の中心のズレを解消し、より美しい口元へ


前歯の変色を改善し、本来の自然な美しさへ
担当医 河口智英






