症例・治療例紹介
Cases
Dr. 藤巻太一朗の症例写真
75ページ目 / 108
気になる隙間の再矯正 前歯をインビザライン・ライトで改善


歯列不正と歯周病 総合歯科治療による全顎治療
担当医 藤巻太一朗


抜歯矯正の後戻り インビザラインによるオープンバイトの再矯正
担当医 藤巻太一朗


銀歯を白くしたい セラミックによる審美歯科治療


短期間で終了 デコボコをワイヤー矯正で解消


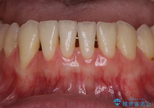
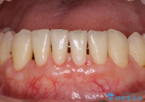
下顎前歯の歯肉退縮 歯肉移植による根面被覆
担当医 藤巻太一朗


前歯のデコボコを改善 目立たないワイヤー矯正
担当医 藤巻太一朗


上顎前歯が2本欠損 インビザラインによる叢生の解消


他院で神経を取ると言われた 神経を極力残した虫歯治療


痛くてかめない 根管治療とオールセラミッククラウン


口元の突出感を改善 ワイヤー装置による抜歯矯正


インビザラインでスッキリとした口元に
担当医 藤巻太一朗


気になる上の歯を改善 インビザライン矯正
担当医 藤巻太一朗


食いしばりの癖を改善 インビザラインによる矯正治療


閉じにくい口元を改善したい ワイヤー装置での抜歯矯正


