症例・治療例紹介
Cases
Dr. 藤巻太一朗の症例写真
7ページ目 / 111
抜歯が必要な歯をインプラントに 短期間インプラント治療


欠損の多い奥歯 インプラントによる補綴治療


飛び出した前歯 インビザラインを用いた抜歯矯正治療


不自然な色彩の前歯 オールセラミッククラウンで自然な口元に


転んで折れてしまった前歯 インプラント補綴治療


歯周病でグラグラの歯 矯正治療と歯周外科を併用した総合歯科治療


外れるブリッジと気になる八重歯 総合歯科治療で美しい口元に


矯正の後戻りによるすきっ歯と歯肉退縮 根面被覆と部分矯正


奥歯で噛みたい 破折した歯のインプラント治療


前歯のデコボコをインビザライン・モデレートで矯正治療
担当医 藤巻太一朗


インビザライン・モデレートを用いて気になる後戻りを矯正治療
担当医 藤巻太一朗


転位歯や埋伏歯などの難易度の高い抜歯矯正治療


奥歯の咬み合わせのズレと前歯の突出感 変則的な抜歯矯正


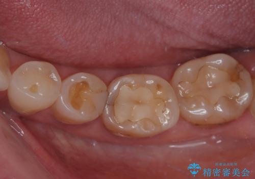
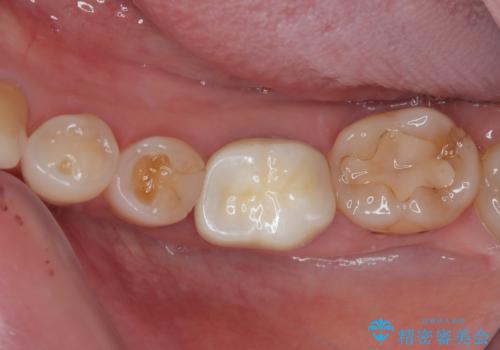
奥歯がたまにしみる フルジルコニアクラウンの補綴治療


上顎前歯のデコボコを改善してスッキリした口元に ワイヤー装置での非抜歯矯正


