症例・治療例紹介
Cases
Dr. 藤巻太一朗の症例写真
51ページ目 / 108
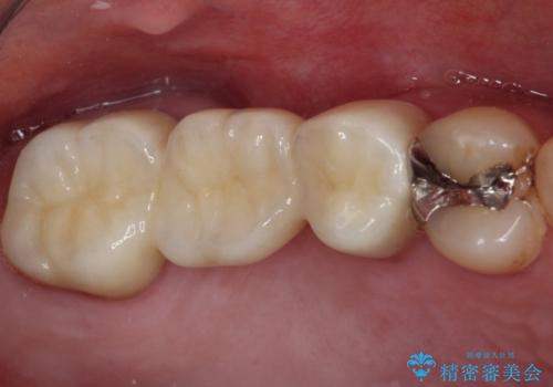
金属の見えてしまったクラウン セラミッククラウンで自然に


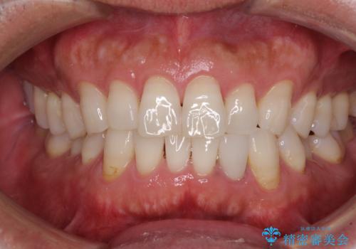
前歯のデコボコを治したい ワイヤー装置でお手軽に矯正治療


残存乳歯とオープンバイト インビザラインによる矯正治療


【モニター】八重歯とデコボコをスッキリきれいに ワイヤー装置での抜歯矯正


ディープバイトをインビザライン矯正で改善


唇を閉じやすく 出っ歯の抜歯矯正
担当医 藤巻太一朗


反対咬合や欠損を治療したい インビザライン矯正とオールセラミックブリッジ


八重歯を抜歯矯正でスッキリと メタルブラケットでの矯正治療
担当医 藤巻太一朗


極端な上下前歯の開咬を改善 オープンバイトのインビザライン矯正


前歯のクロスバイト ワイヤー装置を併用したインビザライン矯正
担当医 藤巻太一朗


歯が欠けてしみる オールセラミッククラウンによる虫歯治療


八重歯と開咬を治したい 目立たないハーフリンガル矯正








