症例・治療例紹介
Cases
Dr. 藤巻太一朗の症例写真
48ページ目 / 112
著しいディープバイトと隙間だらけの歯列


捻れた前歯をインビザラインでスッキリと
担当医 藤巻太一朗


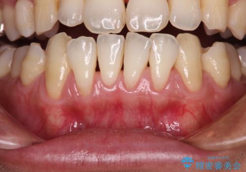
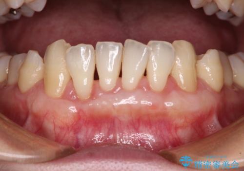
年々下がる歯茎を何とかしたい 歯肉移植術による根面被覆
担当医 藤巻太一朗


目立つ八重歯を治したい インビザラインによる矯正治療


前歯の反対咬合 急速拡大装置とワイヤー装置であっという間の矯正治療


抜歯と言われた奥歯を残したい 奥歯を保存するセラミック治療


ロードバイク運転中に転倒 欠けてしまった前歯のオールセラミック治療


上下前歯の前歯と腫れやすい歯肉 インビザライン矯正で改善


ディープバイトとデコボコを解消 インビザライン矯正


閉じにくい口元と八重歯 ワイヤー装置での抜歯矯正


隙間の空いた前歯を閉じたい インビザライン矯正


【モニター】前歯のクロスバイトをインビザラインで治療
担当医 藤巻太一朗


見えないほど重なっている前歯 抜歯矯正でスッキリとした歯並びに
担当医 藤巻太一朗


気になる前歯を短期間で改善 下顎の部分矯正と上顎のオールセラミッククラウン


狭い歯列を拡大 拡大装置を併用したインビザライン矯正


