症例・治療例紹介
Cases
Dr. 藤巻太一朗の症例写真
4ページ目 / 111
放置した欠損部 奥歯の即時荷重インプラント治療


銀歯を白くしたい 一緒に矯正治療も行ない美しい口腔内に


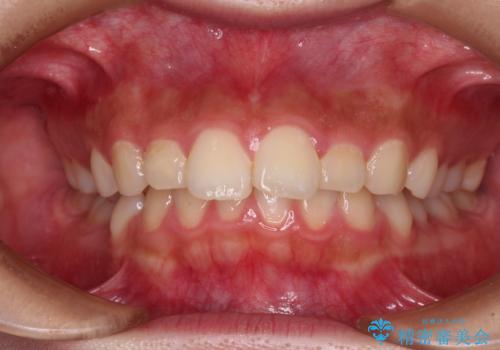
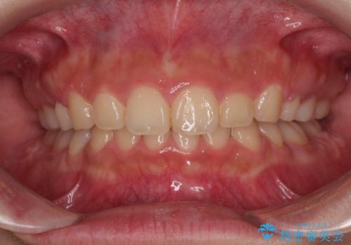
全顎的なデコボコと口元の突出感 ワイヤー装置での抜歯矯正で整った口元に


骨格的な出っ歯を抜歯矯正で改善 横顔の印象が劇的に変化


痛すぎて食事がとれない 奥歯の根管治療


咬合力で破折した奥歯 抜歯即時インプラントで短期間治療


気になる前歯のデコボコと八重歯 ワイヤー矯正ですっきりと


前歯のオープンバイト インビザラインで咬み合わせを改善
担当医 藤巻太一朗


飛び出した口元を改善したい ワイヤー装置による抜歯矯正治療
担当医 藤巻太一朗


破折した奥歯 抜歯即時埋入インプラントによる補綴治療


深い咬み合わせによる隙間 インビザライン矯正でコンプレックスを改善


前歯の審美歯科治療 下顎の部分矯正と上顎前歯のオールセラミッククラウン


奥歯の欠損と前歯のデコボコを治したい インプラントと矯正治療の総合歯科治療


骨格性のディープバイト 補助装置を併用したワイヤー矯正治療で咬み合わせを改善


割れてしまった奥歯 抜歯即時埋入インプラントによる短期間治療


