症例・治療例紹介
Cases
Dr. 藤巻太一朗の症例写真
31ページ目 / 111
手間をかけずに治したい 短期間のワイヤー矯正


前歯のデコボコを整える インビザラインによる矯正治療
担当医 藤巻太一朗


正中のズレと飛び出した前歯を改善 メタルブラケットでの抜歯矯正


八重歯と乱れた咬み合わせを改善 ワイヤー装置での抜歯矯正


前歯のクロスバイトを治したい ワイヤー装置による矯正治療


インビザラインが続けられない 装置変更して抜歯矯正


前歯のクロスバイト インビザラインによる矯正治療


欠損した前歯とディープバイト ワイヤー矯正で短期間で治療


前歯のデコボコを費用を抑えたメタルブラケットできれいに
担当医 藤巻太一朗


前歯のデコボコとクロスバイトをインビザライン矯正で改善


前歯のデコボコを治したい インビザライン矯正治療
担当医 藤巻太一朗


口元の突出感を抜歯矯正で改善 メタル装置で費用を抑える


前に飛び出した前歯を治したい ワイヤー装置による抜歯矯正治療


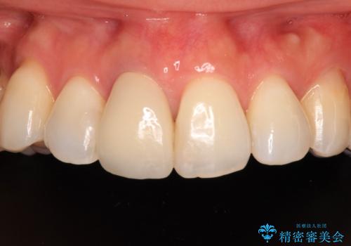
失活により変色した前歯 オールセラミッククラウンによる審美歯科治療


前歯のクロスバイト インビザラインによる矯正治療


