症例・治療例紹介
Cases
Dr. 藤巻太一朗の症例写真
18ページ目 / 111
インビザライン・モデレートを用いて気になる前歯を短期間で矯正治療
担当医 藤巻太一朗


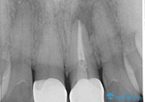
繰り返す痛み 下顎小臼歯の再根管治療


八重歯を確実に改善 補助装置を併用したインビザライン矯正治療
担当医 藤巻太一朗


開咬と前方に飛び出した前歯 インビザラインによる矯正治療
担当医 藤巻太一朗


骨格的な問題を側方拡大で解決 ワイヤー矯正治療


食いしばり癖を改善したい ディープバイトのワイヤー矯正


【モニター】顎のゆがみをカムフラージュ ワイヤー装置の抜歯矯正


飛び出した上顎前歯と上下のデコボコ 片顎の抜歯によるワイヤー矯正
担当医 藤巻太一朗


急速拡大装置 狭い上顎骨を拡大してワイヤー装置で八重歯を短期間治療


デコボコと出っ歯 抜歯矯正でスッキリとした口元に


前歯のデコボコを解消 インビザラインの矯正治療
担当医 藤巻太一朗


前歯の重なりをインビザライン・モデレートで矯正治療
担当医 藤巻太一朗


気になる前歯 ワイヤー矯正とセラミック治療






