症例・治療例紹介
Cases
Dr. 藤巻太一朗の症例写真
10ページ目 / 111
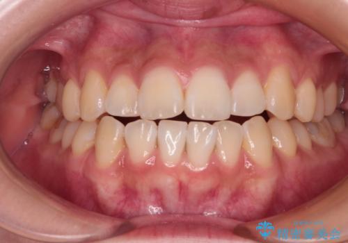
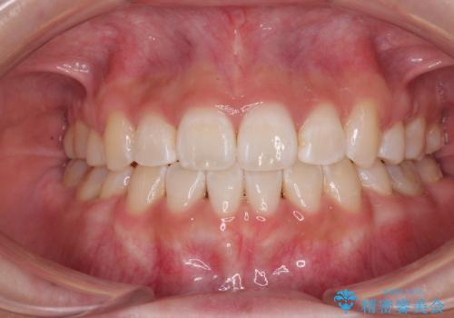
下唇に前歯が引っかかる インビザライン矯正でスッキリした口元に


ものが噛めないほどの激痛 根管治療とセラミックのむし歯治療


欠損を放置した奥歯 即時荷重インプラントですぐに噛めるように


【モニター】デコボコ前歯をワイヤー装置での抜歯矯正で改善
担当医 藤巻太一朗


手術が怖くて抜いたままの奥歯に歯を 1DAYインプラント治療


前方に捻れた前歯を治したい インビザライン矯正治療
担当医 藤巻太一朗


噛むと痛い 奥歯のむし歯治療


【モニター】飛び出した上の前歯 非抜歯矯正で整った口元に
担当医 藤巻太一朗


上下前歯のデコボコ ワイヤー装置で楽ちん矯正治療


ディープバイトと前歯のデコボコ インビザラインによる矯正治療


破折して抜歯が必要となった奥歯 オールセラミックブリッジ治療


内側に引っ込んだ歯を治したい インビザラインの矯正治療


隠れている前歯 インビザライン矯正治療と前歯のセラミック治療






