症例・治療例紹介
Cases
Dr. 井上季実子の症例写真
14ページ目 / 31
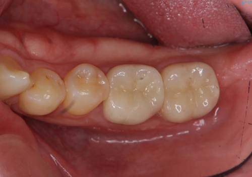
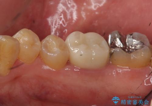
放置した虫歯の治療 親知らずの手前が虫歯


放置した虫歯 歯ぐきの中まで虫歯でも、しっかり健康的な部分を引っ張り出して、きちんと処置します。


埋まっている奥歯を引っ張り出す インビザライン矯正


「整形した?」と言われるほどの変化! 口元を矯正治療で改善 鼻を高くしたわけでも、アゴに何か入れたわけでもありません。


前歯のがたつき・すれちがい咬合を非抜歯で。流行の、格安マウスピースでは難しい、ワンランク上の治療


上の奥歯のインプラント、全体的な虫歯治療


つめものが取れたのを放置 神経の治療からやりかえ


前歯のガタガタ 治療期間がかかっても良いので非抜歯でマウスピースで


前歯のがたつき インビザラインで抜歯矯正
担当医 井上季実子


50代男性 受け口 他院で5年以上かかると治療を断られた
担当医 井上季実子


前歯ブリッジのやりかえ 下の歯のがたつき 銀歯を全てセラミックに


歯並びのがたつきを直したい ワイヤーは嫌 抜きたくない


出っ歯 すれ違い咬合の改善


前歯のがたつき 乳歯を抜かずに矯正




