症例・治療例紹介
Cases
Dr. 井上季実子の症例写真
12ページ目 / 31
下の前歯が1本短い インビザラインと部分矯正の組み合わせ


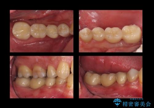
奥歯の虫歯 歯の間を広げてセラミックでしっかり治療


前歯のがたつき インビザラインで 下の奥歯を後ろに下げる


奥歯の被せ物のやり直し 精密根管治療


出っ歯を治したい 過蓋咬合


前歯のブリッジの下が虫歯 ブリッジのやりかえ


20代女性 出っ歯 口元を引っ込めたい


出っ歯 インビザラインで歯を抜かない治療


出っ歯 前歯のがたがた 口元を引っ込めたい


神経をとった前歯が変色してきた


他院の根の治療で一向に治らない、さらに歯根を切ってもらったが良くならない


歯の高さがなく、しょっちゅう外れる 他院で治療途中だが病院を変えたい


前歯のがたつき インビザラインで






