症例・治療例紹介
Cases
Dr. 大元洋佑の症例写真
9ページ目 / 67
見た目の悪いクラウンをやりかえたい


前歯のねじれを治したい リーズナブルなインビザラインモデレートプラン
担当医 大元洋佑


歯並びのせいで歯ブラシがしづらい マルチブラケットを用いた抜歯矯正
担当医 大元洋佑


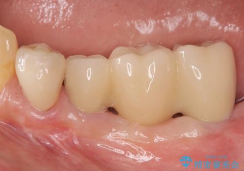
ゴールド修復後の虫歯再発 ジルコニアクラウンで精密治療
担当医 大元洋佑


[ 審美歯科 ] ジルコニアクラウンで自然な歯に
担当医 大元洋佑
![[ 審美歯科 ] ジルコニアクラウンで自然な歯にの症例 治療前](https://seimitsushinbi.jp/wp/wp-content/uploads/2024/11/26c29c0623af09738a394680a84f8f1e-500x350.jpg?v=1731917370)
![[ 審美歯科 ] ジルコニアクラウンで自然な歯にの症例 治療後](https://seimitsushinbi.jp/wp/wp-content/uploads/2024/11/039bc8bb7645fe85edc02d05ef482889-500x350.jpg?v=1731917160)
[ 正中過剰埋伏歯 ] 正中離開・過蓋咬合のマウスピース矯正
担当医 大元洋佑
![[ 正中過剰埋伏歯 ] 正中離開・過蓋咬合のマウスピース矯正の症例 治療前](https://seimitsushinbi.jp/wp/wp-content/uploads/2024/11/C1-1-500x350.jpg?v=1731900434)
![[ 正中過剰埋伏歯 ] 正中離開・過蓋咬合のマウスピース矯正の症例 治療後](https://seimitsushinbi.jp/wp/wp-content/uploads/2024/11/IMG_9978-500x350.jpg?v=1731900241)
セラミック インプラント 全顎治療
担当医 大元洋佑


[前歯のねじれ 部分]ワイヤーとマウスピースの併用矯正治療
担当医 大元洋佑
![[前歯のねじれ 部分]ワイヤーとマウスピースの併用矯正治療 の症例 治療前](https://seimitsushinbi.jp/wp/wp-content/uploads/2024/11/IMG_3012-500x350.jpg?v=1731313349)
![[前歯のねじれ 部分]ワイヤーとマウスピースの併用矯正治療 の症例 治療後](https://seimitsushinbi.jp/wp/wp-content/uploads/2024/11/d62ebcf4699c90efb9ffd5ed659b7480-500x350.jpg?v=1731313408)
先天性の2歯欠損 個性を活かしたマウスピース矯正
担当医 大元洋佑


[ セラミック治療 ] 保険治療でいれた銀歯を白くしたい
担当医 大元洋佑
![[ セラミック治療 ] 保険治療でいれた銀歯を白くしたいの症例 治療前](https://seimitsushinbi.jp/wp/wp-content/uploads/2024/10/99749a3572753bae0beef4e0d811ecf0-500x350.jpg?v=1730097182)
![[ セラミック治療 ] 保険治療でいれた銀歯を白くしたいの症例 治療後](https://seimitsushinbi.jp/wp/wp-content/uploads/2024/10/02c8fd5cf0ad158663ee405579f202c1-500x350.jpg?v=1730097187)
[ 破折し大きく吸収した歯槽骨 ] 他院では難しいと言われたインプラント治療
![[ 破折し大きく吸収した歯槽骨 ] 他院では難しいと言われたインプラント治療の症例 治療前](https://seimitsushinbi.jp/wp/wp-content/uploads/2024/10/073ce5e06775df372887a513b05b34d0-500x350.jpg?v=1729760111)
![[ 破折し大きく吸収した歯槽骨 ] 他院では難しいと言われたインプラント治療の症例 治療後](https://seimitsushinbi.jp/wp/wp-content/uploads/2024/10/7e00d9287463e80cbc3d4b87784b3d86-500x350.jpg?v=1729760167)








