症例・治療例紹介
Cases
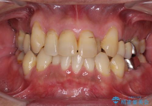
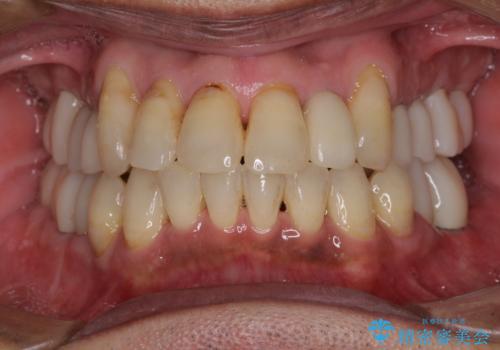
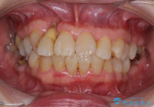
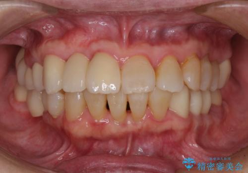
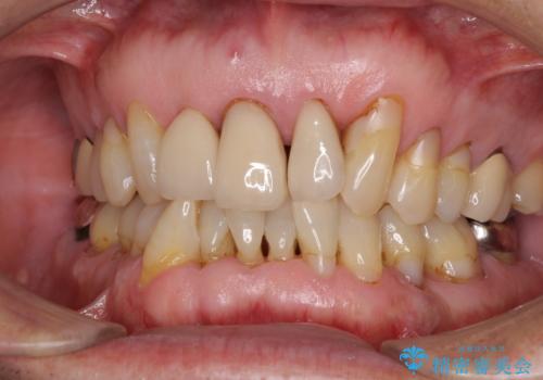
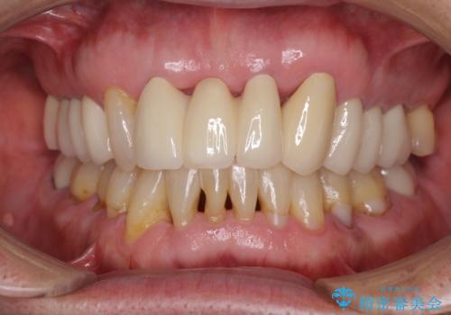
総合歯科治療 → 歯周病治療&矯正歯科治療
2ページ目 / 2
ワイヤー矯正歯科治療の注意事項(リスク・副作用など)
- 治療中は違和感や痛みが起こることがあります
- 症状により、抜歯が必要な場合があります
- 治療中は歯磨きがしにくくなるため、虫歯や歯周病になりやすくなります
- 矯正治療後の保定が不十分だと後戻り(元の位置に戻ろうとする動き)をします
- 自費診療(保険適用外)となります
マウスピース矯正の注意事項(リスク・副作用など)
- 口腔内・歯並びの状態によっては対応できない場合があります
- マウスピース型矯正装置の長時間装着が必須です
- 治療計画通りに進めるためには、患者様の意志が重要になります
- 矯正治療後の保定が不十分だと後戻り(元の位置に戻ろうとする動き)をします
- 自費診療(保険適用外)となります
歯周病治療の注意事項(リスク・副作用など)
- 外科手術のため、術後に痛みや腫れ、違和感を伴います
- 歯周組織再生治療は患者様の状態によって術後の経過が異なります(見た目が改善しない場合もあります)
- 歯周組織再生治療は自費診療(保険適用外)となります








 
                      ![[MTMを行い歯の神経を保存] 歯周補綴ブリッジの症例 治療前](https://seimitsushinbi.jp/wp/wp-content/uploads/2021/04/21310c2f37874ac2f2ba9939da2fee68-500x350.jpg?v=1618452125)
![[MTMを行い歯の神経を保存] 歯周補綴ブリッジの症例 治療後](https://seimitsushinbi.jp/wp/wp-content/uploads/2021/04/75330aaa19199048b71f28658fe46b5b-1-500x350.jpg?v=1618452202)











