症例・治療例紹介
Cases
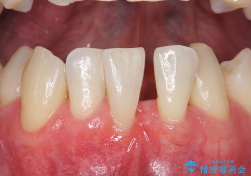
歯周病治療 → 歯周外科治療
7ページ目 / 12
部分矯正を含む 歯周病治療 (再生治療・歯周ポケット除去・MTM・連結補綴)


奥歯に違和感がある 30代男性


奥歯の目立つ銀歯を白くしたい


歯医者嫌いで歯がボロボロに 外科処置を用いた抜かない補綴治療


オールセラミッククラウン 歯牙の挺出後の補綴


歯肉移植 矯正前の歯肉退縮の改善および予防


【歯周外科】審美的に気になる短い前歯の長さを歯茎の外科手術とセラミックで揃える


どんなに歯を磨いても治らない 重度歯周病患者の治療
担当医 藤巻太一朗


前歯のブリッジが外れる


オールセラミッククラウン 歯肉より深い虫歯の治療


オールセラミッククラウン 全体的な歯の治療


オールセラミッククラウン 歯茎より深い虫歯(縁下カリエス)の治療


オールセラミッククラウン・歯冠長延長術 抜歯後の補綴


歯茎の腫れた前歯を綺麗にしたい 部分矯正を用いたセラミック治療


歯周病治療の注意事項(リスク・副作用など)
- 外科手術のため、術後に痛みや腫れ、違和感を伴います
- 歯周組織再生治療は患者様の状態によって術後の経過が異なります(見た目が改善しない場合もあります)
- 歯周組織再生治療は自費診療(保険適用外)となります

![[歯周病治療] 再生療法 歯肉弁根尖側移動術の症例 治療前](https://seimitsushinbi.jp/wp/wp-content/uploads/2019/10/3c14c04adc54b700635ea6e60a86e6f7-500x350.jpg?v=1572506725)
![[歯周病治療] 再生療法 歯肉弁根尖側移動術の症例 治療後](https://seimitsushinbi.jp/wp/wp-content/uploads/2019/10/223fc25789d915feccff7ca4d84fd466-500x350.jpg?v=1572507121)