症例・治療例紹介
Cases
その他 → 舌小帯・上唇小帯切除
2ページ目 / 5
滑舌が気になる、舌小帯形成術


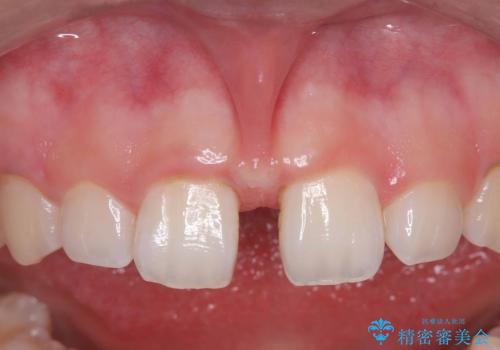
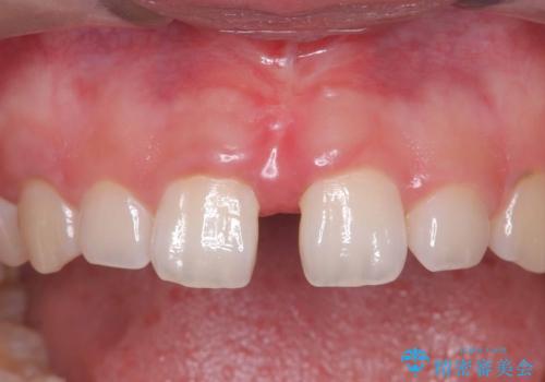
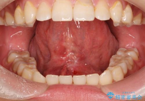
【上唇小帯切除術】子どもの頃から上の前歯の歯茎が気になってた!
担当医 河野豊嘉


『即日手術』滑舌が悪いのを改善したい!
担当医 菊地俊介


舌が動かしにくい。
担当医 青山卓弘


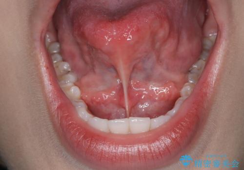
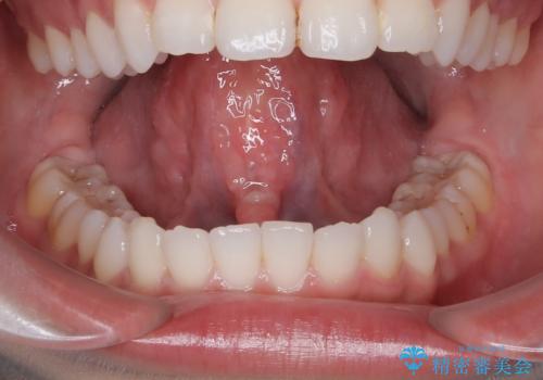
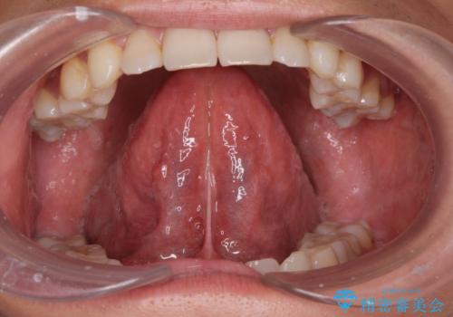
[ 舌小帯の形成術 ] 短い舌の改善をしたい
担当医 大元洋佑
![[ 舌小帯の形成術 ] 短い舌の改善をしたいの症例 治療前](https://seimitsushinbi.jp/wp/wp-content/uploads/2024/01/a2134e91acf88c355613990e1bd96304-500x350.jpg?v=1706348748)
![[ 舌小帯の形成術 ] 短い舌の改善をしたいの症例 治療後](https://seimitsushinbi.jp/wp/wp-content/uploads/2024/01/52db9b03a5d3a93572f61dbac2597f07-500x350.jpg?v=1706348765)
舌が動かしにくいから舌小帯を切りたい
担当医 青山卓弘


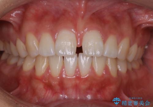
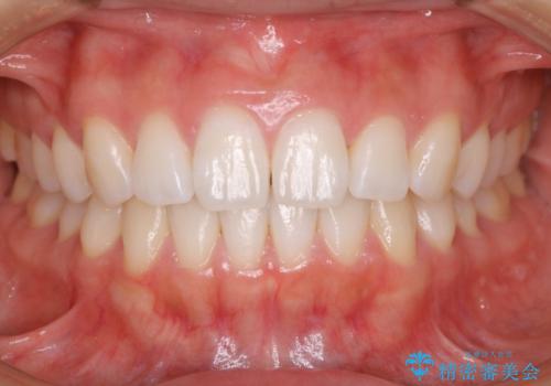
インビザライン矯正 前歯のすきっ歯を治したい


ラ行が言いにくい。


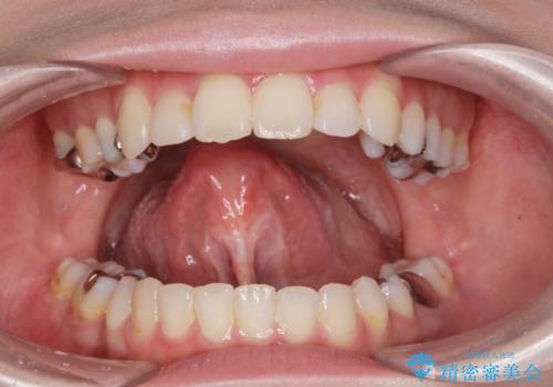
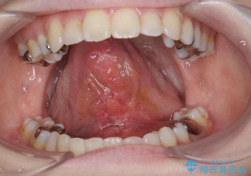
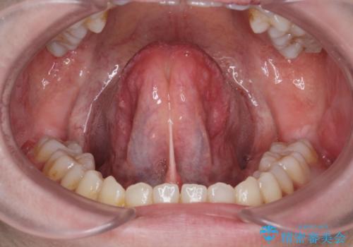
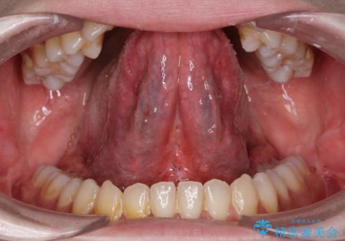
[ 舌小帯の形成術 ] 「ら行」や「た行」が発音しづらいのを改善したい!
担当医 大元洋佑
![[ 舌小帯の形成術 ] 「ら行」や「た行」が発音しづらいのを改善したい!の症例 治療前](https://seimitsushinbi.jp/wp/wp-content/uploads/2023/12/7d9ac5f7c2f3679a481af9859a64f532-500x350.jpg?v=1701830486)
![[ 舌小帯の形成術 ] 「ら行」や「た行」が発音しづらいのを改善したい!の症例 治療後](https://seimitsushinbi.jp/wp/wp-content/uploads/2023/12/999705bbf9ee513b86dbb3839372e65b-500x350.jpg?v=1701830502)
[滑舌を治したい] 舌の小帯の形成術
担当医 大元洋佑
![[滑舌を治したい] 舌の小帯の形成術の症例 治療前](https://seimitsushinbi.jp/wp/wp-content/uploads/2023/11/IMG_8451-500x350.jpg?v=1699614841)
![[滑舌を治したい] 舌の小帯の形成術の症例 治療後](https://seimitsushinbi.jp/wp/wp-content/uploads/2023/11/IMG_8901-500x350.jpg?v=1699614854)
舌が動かしにくい
担当医 青山卓弘


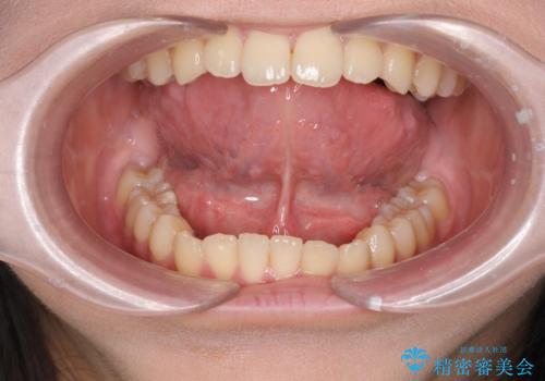
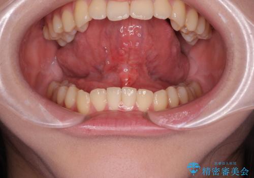
[ 舌の小帯の形成術 ] 滑舌を改善したい
担当医 大元洋佑
![[ 舌の小帯の形成術 ] 滑舌を改善したいの症例 治療前](https://seimitsushinbi.jp/wp/wp-content/uploads/2023/10/IMG_7222-500x350.jpg?v=1697768320)
![[ 舌の小帯の形成術 ] 滑舌を改善したいの症例 治療後](https://seimitsushinbi.jp/wp/wp-content/uploads/2023/10/IMG_7670-500x350.jpg?v=1697768329)
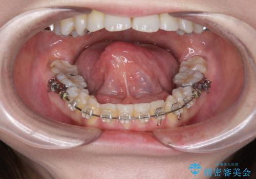
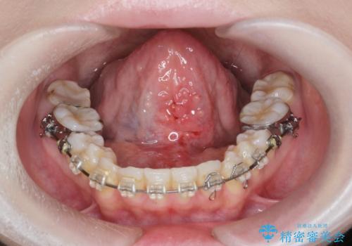
舌が短く話しづらい、滑舌を改善する小手術
担当医 大元洋佑


滑舌の改善 舌小帯の形成術
担当医 大元洋佑


滑舌を改善! 舌小帯の形成術
担当医 大元洋佑


外科処置の注意事項(リスク・副作用など)
- 外科手術のため、術後に出血、痛みや腫れ、違和感を伴います
- 口腔内の状態によっては適応できないことがあります
