症例・治療例紹介
Cases
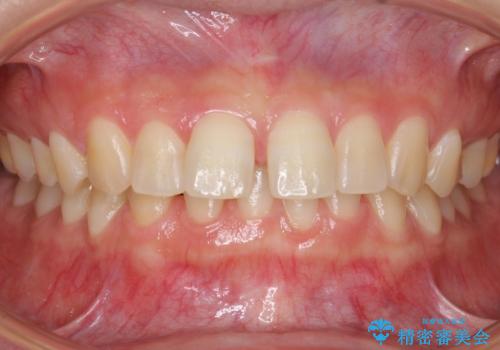
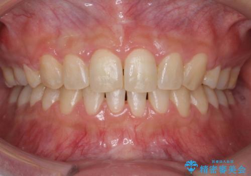
矯正歯科治療 → 過蓋咬合(ディープバイト)
9ページ目 / 11
ハーフリンガル矯正 抜歯をして前歯を下げる


デコボコと深い咬み合わせの改善 インビザラインによる矯正治療


埋まっている犬歯を抜歯して、歯列矯正


抜かない矯正 前歯がとび出ているのをマウスピースで


抜歯矯正で口元に変化を ラビアル・ワイヤー矯正でEライン


ハーフリンガル ワイヤー矯正による非抜歯・過蓋咬合の治療


シビアな前突症・過蓋咬合 インビザラインで改善する invisalign


前歯のがたがた 前歯が内側に傾いている


上の出っ歯を治したい インビザラインによる非抜歯矯正治療


前歯のすきま 右上の小臼歯の垂直的骨吸収を抜歯で解決


インビザラインによる出っ歯とすきっ歯の改善


インビザラインでスキッ歯をきれいになおす invisalign


全体のすきっぱ マウスピース矯正~インビザライン~


40代男性 総合歯科治療 矯正治療+虫歯治療


ディープバイトを改善したい 目立たないワイヤー矯正


ワイヤー矯正歯科治療の注意事項(リスク・副作用など)
- 治療中は違和感や痛みが起こることがあります
- 症状により、抜歯が必要な場合があります
- 治療中は歯磨きがしにくくなるため、虫歯や歯周病になりやすくなります
- 矯正治療後の保定が不十分だと後戻り(元の位置に戻ろうとする動き)をします
- 自費診療(保険適用外)となります
マウスピース矯正の注意事項(リスク・副作用など)
- 口腔内・歯並びの状態によっては対応できない場合があります
- マウスピース型矯正装置の長時間装着が必須です
- 治療計画通りに進めるためには、患者様の意志が重要になります
- 矯正治療後の保定が不十分だと後戻り(元の位置に戻ろうとする動き)をします
- 自費診療(保険適用外)となります
