症例・治療例紹介
Cases
矯正歯科治療 → マウスピース
9ページ目 / 22
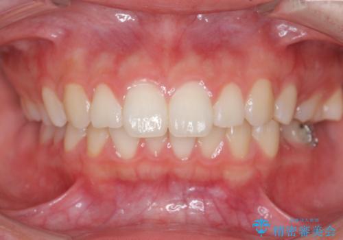
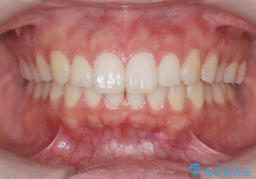
インビザラインで自然な美しさへ、前歯のガタツキを改善しました


前歯のガタツキ、前歯の噛み合わせ(開咬)をインビザライン治療で治しました


前歯がねじれている 奥歯を後ろに下げて歯を抜かずに並べました


前歯のガタつきをマウスピース矯正で改善! 驚きの効果を体験しよう


悩ましい前歯のガタつき、マウスピース矯正で解決! 自信を取り戻して笑顔に


驚くほど短期間で前歯のガタツキを解消! マウスピース矯正の効果


マウスピース矯正で前歯のガタツキを改善! 短期間で治療完了


驚くほどの変化! マウスピース矯正で前歯のすきっ歯を効果的に改善しました


前歯のがたつきを改善してしっかり噛める歯並びへ:インビザライン治療


気になる前歯を短期間で改善 下顎の部分矯正と上顎のオールセラミッククラウン


【インビザライン】前歯のガタガタをなおしたい
担当医 河口智英


口元の印象が変わります。 引っ込んでいる前歯を出す治療


マウスピース矯正の注意事項(リスク・副作用など)
- 口腔内・歯並びの状態によっては対応できない場合があります
- マウスピース型矯正装置の長時間装着が必須です
- 治療計画通りに進めるためには、患者様の意志が重要になります
- 矯正治療後の保定が不十分だと後戻り(元の位置に戻ろうとする動き)をします
- 自費診療(保険適用外)となります






