症例・治療例紹介
Cases
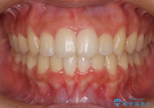
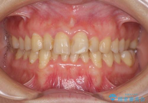
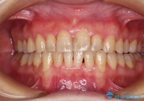
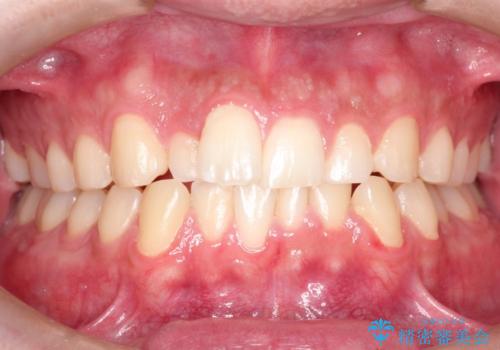
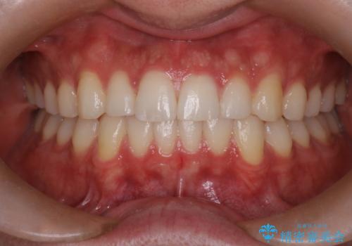
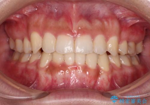
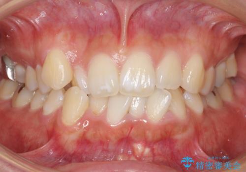
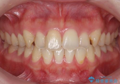
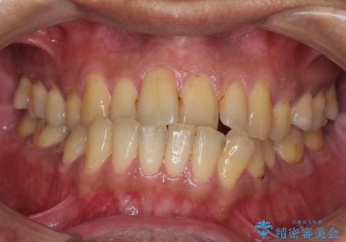
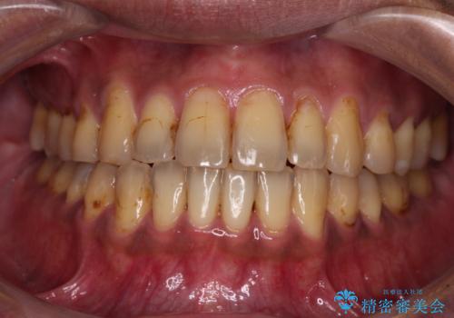
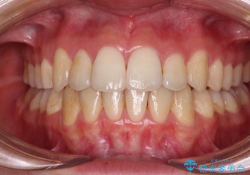
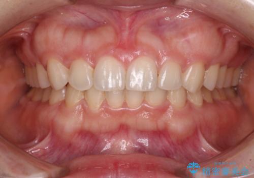
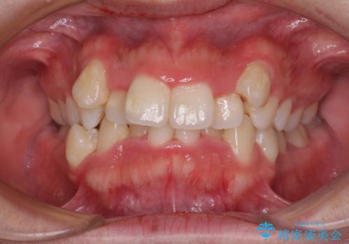
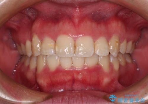
矯正歯科治療 → 交叉咬合(クロスバイト)
9ページ目 / 19
コンプレックスだった・・・唇が閉じなかった口元。綺麗になりました。


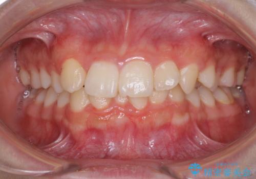
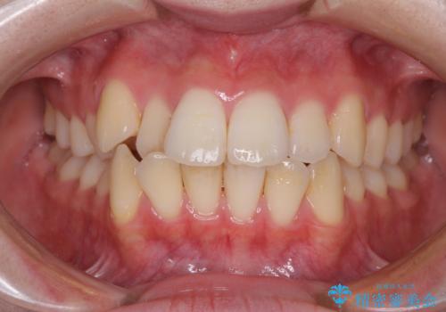
前歯のデコボコと奥歯のクロスバイト インビザラインで改善


『目立たない装置で前歯のガタガタを治したい』インビザライン症例


気になる八重歯を目立たない装置で改善 ハーフリンガル矯正


著しい八重歯が気になる インビザラインでの矯正治療


真ん中が右にずれている 前歯のがたつき 治療途中に地方へ引っ越したが、通ってワイヤー矯正


前歯のデコボコ インビザラインによる目立たない矯正


犬歯のねじれ 上の歯が引っ込んでいる


引っ込んだ前歯を並べる 歯を抜かないマウスピース矯正


前歯のクロスバイトを改善 ワイヤー装置での非抜歯矯正


インビザラインが続けられない ワイヤー矯正での抜歯矯正 その2


【モニター】前歯の前突感とクロスバイトをインビザラインで改善


【モニター】前歯の歯列不正をワイヤー装置で短期間矯正治療


【モニター】八重歯を抜歯矯正でスッキリした口元に


八重歯のワイヤーによる抜歯矯正 矯正治療と並行してセラミック治療も


ワイヤー矯正歯科治療の注意事項(リスク・副作用など)
- 治療中は違和感や痛みが起こることがあります
- 症状により、抜歯が必要な場合があります
- 治療中は歯磨きがしにくくなるため、虫歯や歯周病になりやすくなります
- 矯正治療後の保定が不十分だと後戻り(元の位置に戻ろうとする動き)をします
- 自費診療(保険適用外)となります
マウスピース矯正の注意事項(リスク・副作用など)
- 口腔内・歯並びの状態によっては対応できない場合があります
- マウスピース型矯正装置の長時間装着が必須です
- 治療計画通りに進めるためには、患者様の意志が重要になります
- 矯正治療後の保定が不十分だと後戻り(元の位置に戻ろうとする動き)をします
- 自費診療(保険適用外)となります
