症例・治療例紹介
Cases
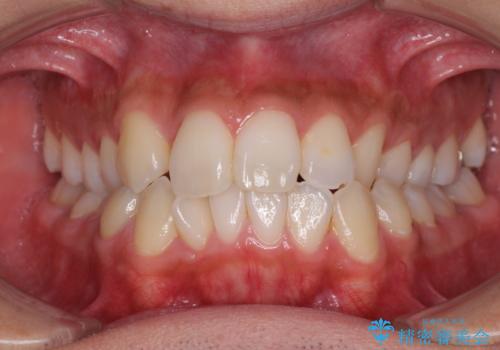
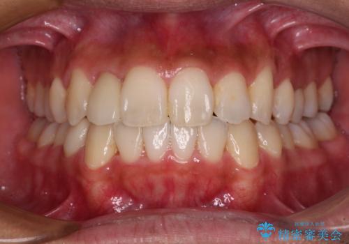
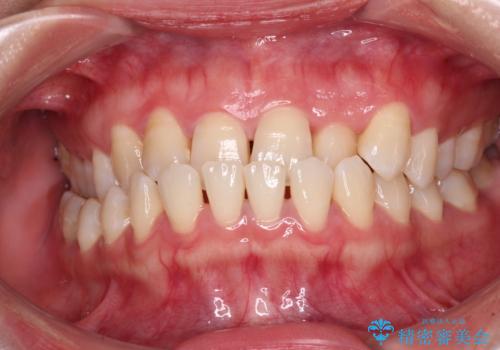
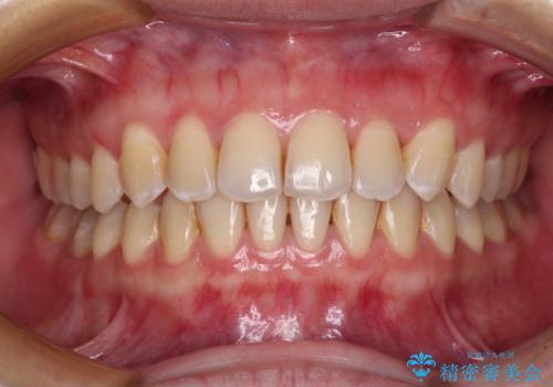
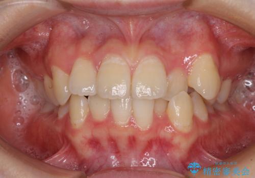
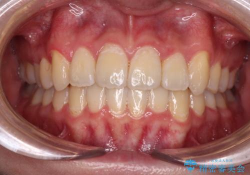
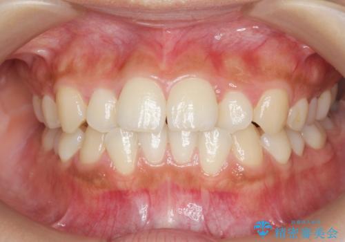
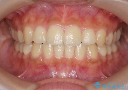
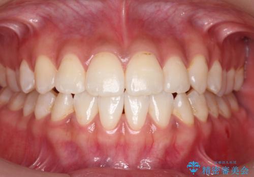
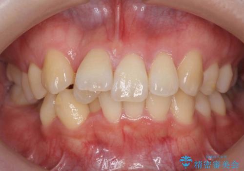
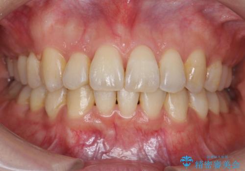
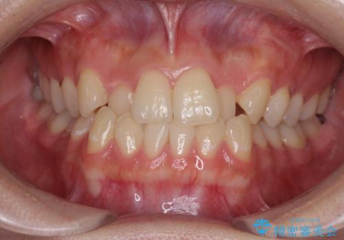
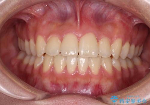
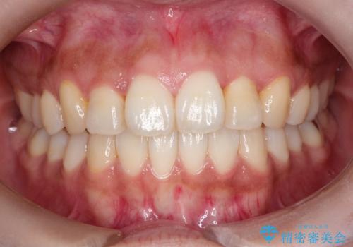
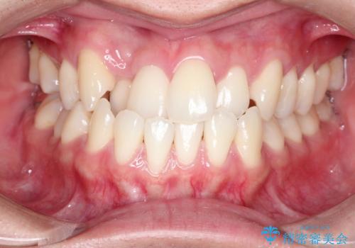
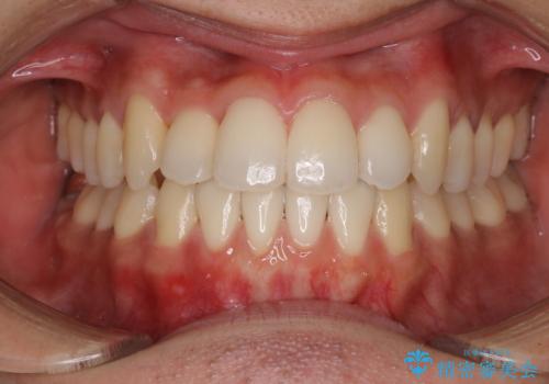
矯正歯科治療 → 交叉咬合(クロスバイト)
8ページ目 / 19
受け口 なんと部分矯正で治るんです!! インプラントを含めた総合歯科治療
担当医 井上季実子


【モニター】左右のクロスバイトをインビザラインできれいに改善


前歯の反対咬合 急速拡大装置とワイヤー装置であっという間の矯正治療


【モニター】八重歯と前歯のクロスバイト ワイヤーを併用しインビザラインで矯正治療


八重歯とクロスバイト 目立たないワイヤー装置での抜歯矯正


やっぱり矯正をしたい セラミック治療の途中から矯正治療スタート


ワイヤーによる抜歯矯正でガタガタの改善


ワイヤー部分矯正を併用して治療期間を短縮 マウスピース矯正治療


口元の印象が変わります。 引っ込んでいる前歯を出す治療


やや難ケース 上の歯を抜かずに歯列を後ろに下げて治療 4本ではなく下1本のみの抜歯できれいに


前歯のクロスバイトを短期間で解消 目立たないワイヤー矯正


前歯のがたつき 部分矯正でコストダウンしながら、かみ合わせも治療


【引っ込んだ前歯が気になる、真ん中の線も揃えたい】インビザライン症例


前歯が反対に咬んでいる インビザラインによる矯正治療


八重歯をインビザラインで非抜歯矯正


ワイヤー矯正歯科治療の注意事項(リスク・副作用など)
- 治療中は違和感や痛みが起こることがあります
- 症状により、抜歯が必要な場合があります
- 治療中は歯磨きがしにくくなるため、虫歯や歯周病になりやすくなります
- 矯正治療後の保定が不十分だと後戻り(元の位置に戻ろうとする動き)をします
- 自費診療(保険適用外)となります
マウスピース矯正の注意事項(リスク・副作用など)
- 口腔内・歯並びの状態によっては対応できない場合があります
- マウスピース型矯正装置の長時間装着が必須です
- 治療計画通りに進めるためには、患者様の意志が重要になります
- 矯正治療後の保定が不十分だと後戻り(元の位置に戻ろうとする動き)をします
- 自費診療(保険適用外)となります
