症例・治療例紹介
Cases
矯正歯科治療 → 叢生(でこぼこ・八重歯)
71ページ目 / 91
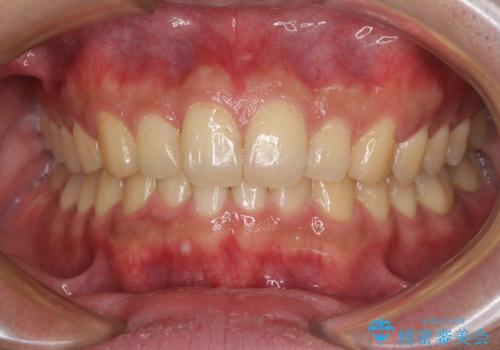
深い咬み合わせと前歯のデコボコの改善 インビザラインによる矯正治療
担当医 藤巻太一朗


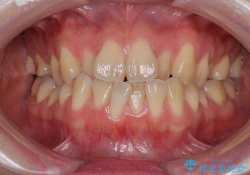
ハーフリンガル 反対咬合の改善


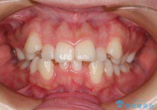
上下の歯のガタガタ ワイヤーでの抜歯矯正で整った歯並びへ


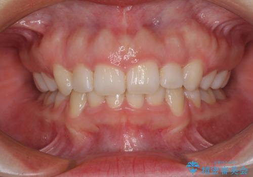
40代の矯正 八重歯を綺麗に


インビザライン矯正とインプラント治療と 総合歯科治療


埋もれた八重歯を引っ張り出す 目立たない矯正装置
担当医 藤巻太一朗


上顎骨拡大を併用したインビザライン矯正
担当医 藤巻太一朗


目立たない裏側矯正 抜歯矯正で口元を改善


ワイヤーによる抜歯矯正 全体的なガタガタを整った歯並びへ


[インビザライン ライト] 短期間(3.5ヶ月)で終わるマウスピース矯正
![[インビザライン ライト]  短期間(3.5ヶ月)で終わるマウスピース矯正の症例 治療前](https://seimitsushinbi.jp/wp/wp-content/uploads/2020/02/C3-500x350.jpg?v=1580813654)
![[インビザライン ライト]  短期間(3.5ヶ月)で終わるマウスピース矯正の症例 治療後](https://seimitsushinbi.jp/wp/wp-content/uploads/2020/02/2f36cdf472a802b537022ae239b8cb6b-500x350.jpg?v=1580813669)
インビザライン矯正 神経のない歯をとって、全て天然歯に


インビザラインでデコボコを目立たず矯正


前歯のガタガタと出っ歯が気になる ハーフリンガルによる抜歯矯正


インビザラインで整った口元に
担当医 藤巻太一朗


奥に引っ込んでいる歯をセラミックでかぶせたい 補綴前矯正 50代男性


ワイヤー矯正歯科治療の注意事項(リスク・副作用など)
- 治療中は違和感や痛みが起こることがあります
 - 症状により、抜歯が必要な場合があります
 - 治療中は歯磨きがしにくくなるため、虫歯や歯周病になりやすくなります
 - 矯正治療後の保定が不十分だと後戻り(元の位置に戻ろうとする動き)をします
 - 自費診療(保険適用外)となります
 
マウスピース矯正の注意事項(リスク・副作用など)
- 口腔内・歯並びの状態によっては対応できない場合があります
 - マウスピース型矯正装置の長時間装着が必須です
 - 治療計画通りに進めるためには、患者様の意志が重要になります
 - 矯正治療後の保定が不十分だと後戻り(元の位置に戻ろうとする動き)をします
 - 自費診療(保険適用外)となります
 
