症例・治療例紹介
Cases
矯正歯科治療 → 部分矯正
7ページ目 / 14
八重歯と形の悪い前歯 矯正治療とセラミック治療


銀歯や入れ歯で汚い歯をきれいにしたい 総合歯科治療
担当医 藤巻太一朗


前歯のすれ違いによる歯周病を矯正治療で改善
担当医 大元洋佑


前歯のねじれを改善 小矯正+マウスピース矯正インビザライン
担当医 大元洋佑


前歯のガタつきを改善 マウスピース矯正とワイヤー部分矯正
担当医 大元洋佑


矯正治療とセラミック治療で口腔内環境を劇的に改善


気になる所を一気に治療 総合歯科治療


60代男性 奥歯のブリッジ 倒れこんでいる奥歯を部分矯正


隙間の空いた前歯を治したい 上顎の部分矯正


放置された虫歯 小矯正+歯周外科による保存処置


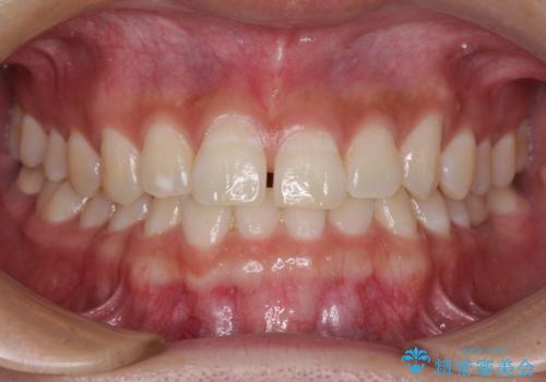
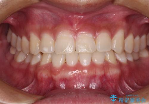
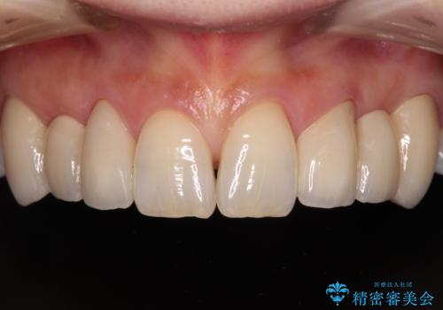
[ マウスピース矯正 ] 前歯のねじれを治したい
![[ マウスピース矯正 ] 前歯のねじれを治したいの症例 治療前](https://seimitsushinbi.jp/wp/wp-content/uploads/2022/01/IMG_1344-500x350.jpg?v=1641871025)
![[ マウスピース矯正 ] 前歯のねじれを治したいの症例 治療後](https://seimitsushinbi.jp/wp/wp-content/uploads/2022/01/IMG_0069-500x350.jpg?v=1641870943)
もげてしまった奥歯 部分矯正で清掃性の良い補綴治療


ワイヤー矯正歯科治療の注意事項(リスク・副作用など)
- 治療中は違和感や痛みが起こることがあります
- 症状により、抜歯が必要な場合があります
- 治療中は歯磨きがしにくくなるため、虫歯や歯周病になりやすくなります
- 矯正治療後の保定が不十分だと後戻り(元の位置に戻ろうとする動き)をします
- 自費診療(保険適用外)となります
マウスピース矯正の注意事項(リスク・副作用など)
- 口腔内・歯並びの状態によっては対応できない場合があります
- マウスピース型矯正装置の長時間装着が必須です
- 治療計画通りに進めるためには、患者様の意志が重要になります
- 矯正治療後の保定が不十分だと後戻り(元の位置に戻ろうとする動き)をします
- 自費診療(保険適用外)となります

![[ 前歯のガタつきを治す ]マウスピース矯正インビザラインの症例 治療前](https://seimitsushinbi.jp/wp/wp-content/uploads/2022/01/IMG_0237-500x350.jpg?v=1642039695)
![[ 前歯のガタつきを治す ]マウスピース矯正インビザラインの症例 治療後](https://seimitsushinbi.jp/wp/wp-content/uploads/2022/01/IMG_9999-500x350.jpg?v=1642039754)



