症例・治療例紹介
Cases
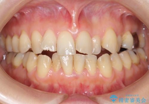
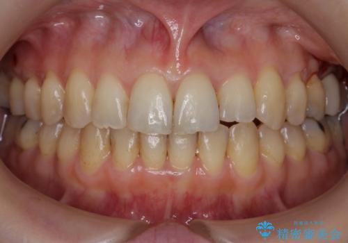
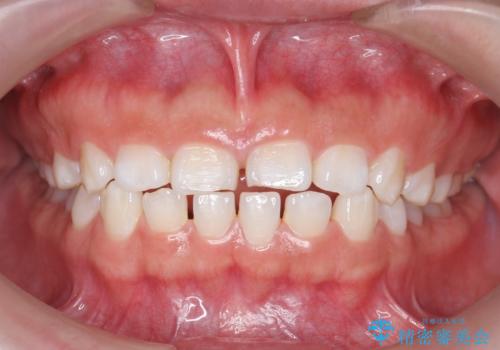
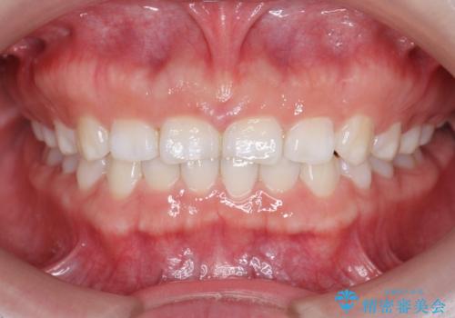
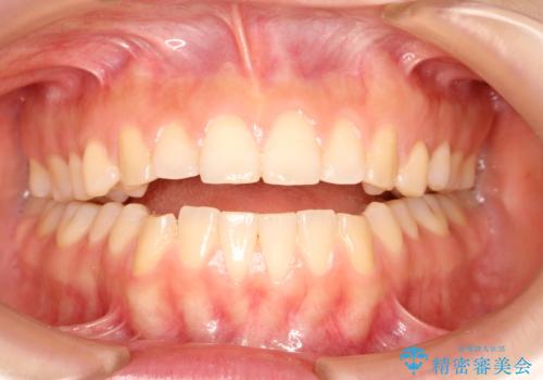
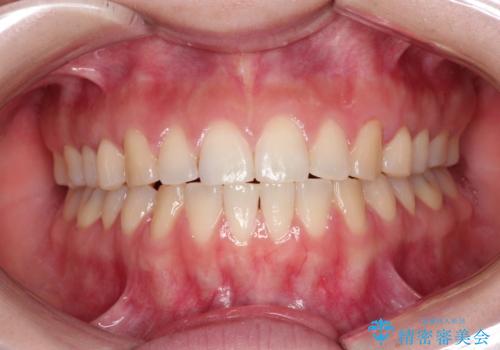
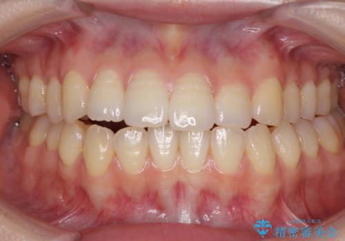
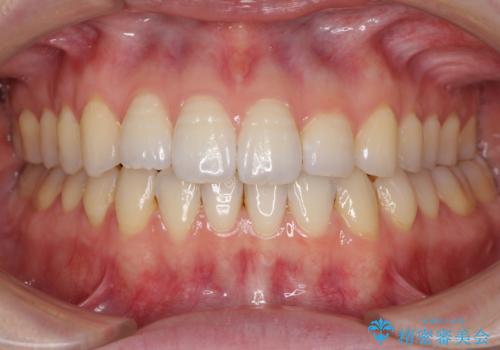
矯正歯科治療 → 開咬(オープンバイト)
7ページ目 / 8
歯が前に出てて、口が閉じない 抜歯矯正による口元の改善


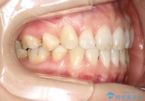
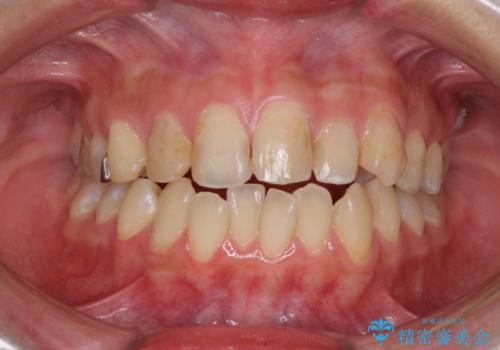
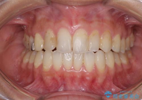
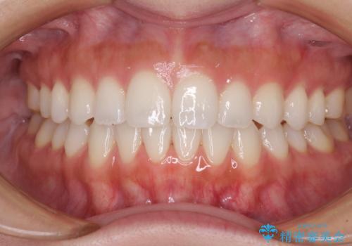
オープンバイトでかみにくい インビザラインによる矯正治療
担当医 藤巻太一朗


後戻りを治したい 骨格的なズレの大きい方のインビザライン矯正
担当医 藤巻太一朗


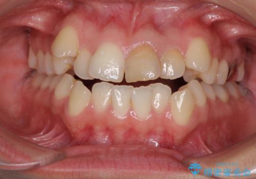
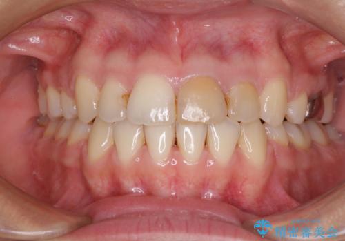
前歯のオープンバイトを治したい インビザラインでの矯正治療
担当医 藤巻太一朗


前歯のガタガタ 治療期間がかかっても良いので非抜歯でマウスピースで


八重歯の抜歯矯正 費用を抑えた矯正装置


前歯がグラグラする 他院で、もうできることがないと言われた


インビザライン 気になるすきっ歯の改善


話しにくいオープンバイト インビザラインによる矯正治療
担当医 藤巻太一朗


上下の前歯が当たらない インビザラインによる開咬の矯正治療


オープンバイトのインビザラインを用いた再矯正


前歯がガタガタ・噛み切りにくい インビザラインによる歯を抜かない矯正


口元出てるのが気になる ワイヤーでの抜歯矯正で口元をすっきりと


出っ歯が気になる オープンバイトを伴う前突症のインビザライン治療・セラミック治療 invisalign


前歯がガタガタで食べ物が咬み切れない フルリンガルによる裏側矯正


ワイヤー矯正歯科治療の注意事項(リスク・副作用など)
- 治療中は違和感や痛みが起こることがあります
- 症状により、抜歯が必要な場合があります
- 治療中は歯磨きがしにくくなるため、虫歯や歯周病になりやすくなります
- 矯正治療後の保定が不十分だと後戻り(元の位置に戻ろうとする動き)をします
- 自費診療(保険適用外)となります
マウスピース矯正の注意事項(リスク・副作用など)
- 口腔内・歯並びの状態によっては対応できない場合があります
- マウスピース型矯正装置の長時間装着が必須です
- 治療計画通りに進めるためには、患者様の意志が重要になります
- 矯正治療後の保定が不十分だと後戻り(元の位置に戻ろうとする動き)をします
- 自費診療(保険適用外)となります
