症例・治療例紹介
Cases
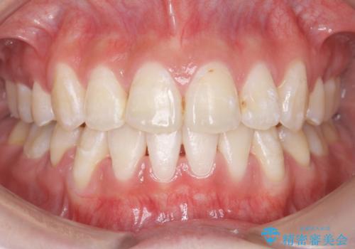
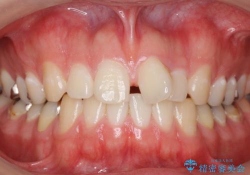
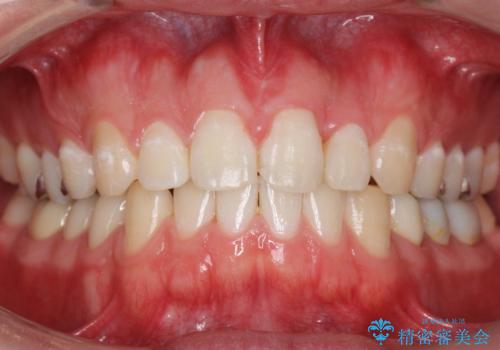
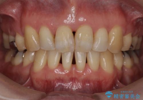
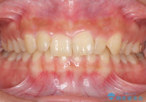
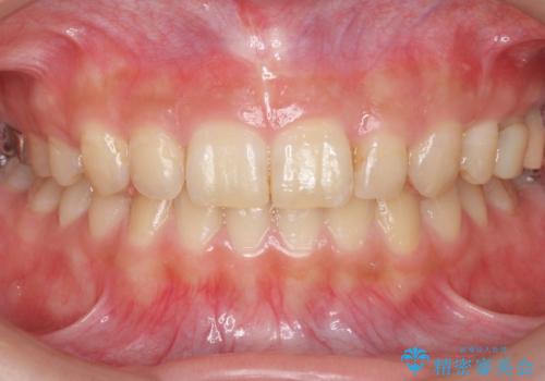
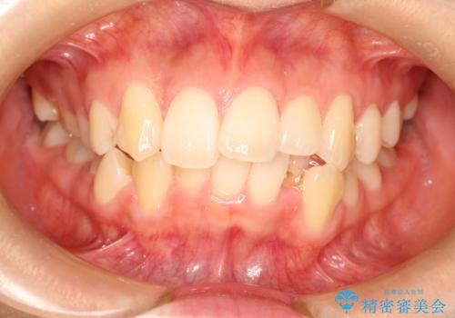
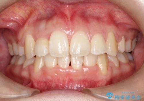
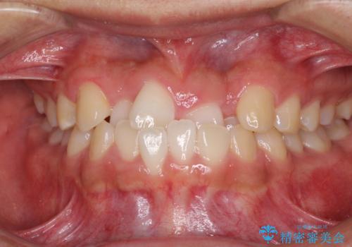
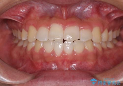
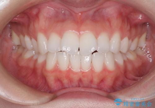
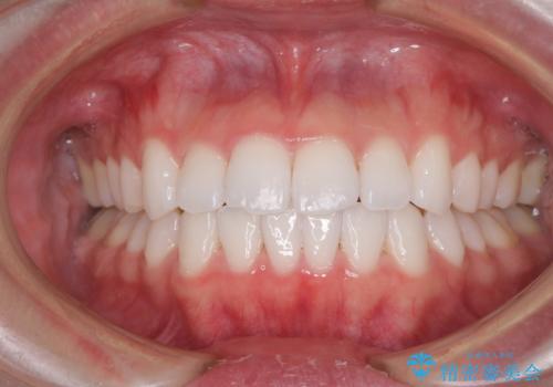
矯正歯科治療 → 叢生(でこぼこ・八重歯)
69ページ目 / 91
八重歯の治療 仕上がり重視で


前歯のねじれ 上だけ部分矯正でコストダウン


再矯正 一度抜かないでやったが、やっぱり抜いて口元下げたい


40代の矯正 出っ歯、歯のがたがた


前歯のがたつき 過蓋咬合


受け口の改善 歯を抜かずに矯正


前歯が1本内側に引っ込んでいる ワイヤーによる抜歯矯正


上下の前歯のがたつき 歯を抜かずに矯正


軽度の前歯のがたつき 下の前歯が生まれつき少ない


前歯のねじれを 1年かけずに矯正 インビザライン


美容歯科でも断られた 著しい前歯のクロスバイトをワイヤー矯正で改善


矯正歯科治療と前歯の歯肉移植術


前歯のクロスバイト インビザラインによる矯正治療


留学前に矯正治療 目立たないワイヤー装置でのスピード矯正
担当医 藤巻太一朗


インビザラインによる狭窄歯列の拡大矯正
担当医 藤巻太一朗


ワイヤー矯正歯科治療の注意事項(リスク・副作用など)
- 治療中は違和感や痛みが起こることがあります
 - 症状により、抜歯が必要な場合があります
 - 治療中は歯磨きがしにくくなるため、虫歯や歯周病になりやすくなります
 - 矯正治療後の保定が不十分だと後戻り(元の位置に戻ろうとする動き)をします
 - 自費診療(保険適用外)となります
 
マウスピース矯正の注意事項(リスク・副作用など)
- 口腔内・歯並びの状態によっては対応できない場合があります
 - マウスピース型矯正装置の長時間装着が必須です
 - 治療計画通りに進めるためには、患者様の意志が重要になります
 - 矯正治療後の保定が不十分だと後戻り(元の位置に戻ろうとする動き)をします
 - 自費診療(保険適用外)となります
 
