症例・治療例紹介
Cases
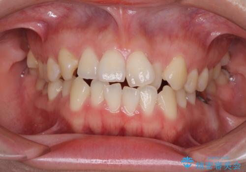
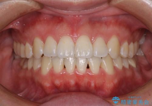
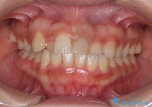
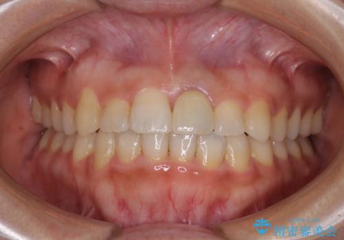
矯正歯科治療 → 叢生(でこぼこ・八重歯)
66ページ目 / 91
海外留学をしながら歯並びを整えたい インビザラインによる矯正治療


【モニター】 インビザラインによる後戻りの再矯正治療
担当医 藤巻太一朗


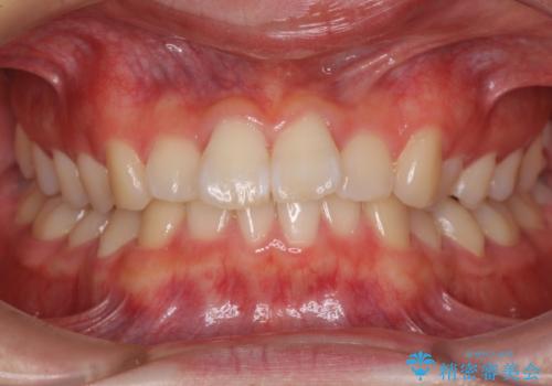
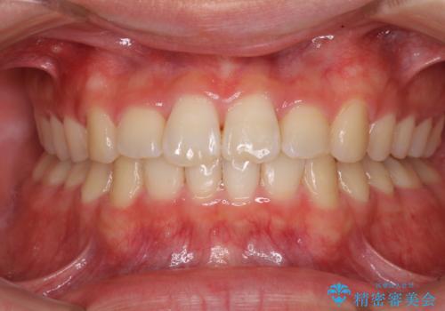
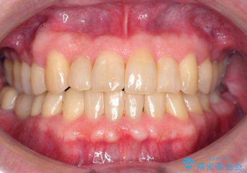
前歯のデコボコを治したい ワイヤー矯正


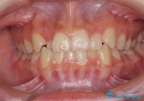
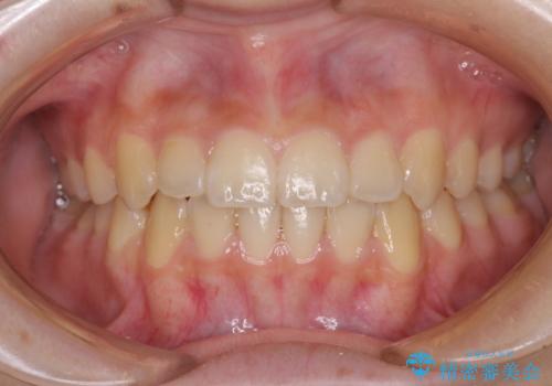
前歯のがたつき・すれちがい咬合を非抜歯で。流行の、格安マウスピースでは難しい、ワンランク上の治療


前歯のクロスバイトと変色した歯 ワイヤー矯正とセラミック治療


深い咬み合わせと奥歯のむし歯 総合歯科治療


下顎前歯と上顎の部分矯正
担当医 藤巻太一朗


深い咬み合わせとデコボコ ワイヤー矯正で短期治療


前歯のガタガタをインビザラインで目立たず矯正


前歯のクロスバイト メタル装置での矯正治療


前歯のガタガタ 治療期間がかかっても良いので非抜歯でマウスピースで


前歯のがたつき インビザラインで抜歯矯正
担当医 井上季実子


50代男性 受け口 他院で5年以上かかると治療を断られた
担当医 井上季実子


前歯ブリッジのやりかえ 下の歯のがたつき 銀歯を全てセラミックに


歯並びのがたつきを直したい ワイヤーは嫌 抜きたくない


ワイヤー矯正歯科治療の注意事項(リスク・副作用など)
- 治療中は違和感や痛みが起こることがあります
- 症状により、抜歯が必要な場合があります
- 治療中は歯磨きがしにくくなるため、虫歯や歯周病になりやすくなります
- 矯正治療後の保定が不十分だと後戻り(元の位置に戻ろうとする動き)をします
- 自費診療(保険適用外)となります
マウスピース矯正の注意事項(リスク・副作用など)
- 口腔内・歯並びの状態によっては対応できない場合があります
- マウスピース型矯正装置の長時間装着が必須です
- 治療計画通りに進めるためには、患者様の意志が重要になります
- 矯正治療後の保定が不十分だと後戻り(元の位置に戻ろうとする動き)をします
- 自費診療(保険適用外)となります
