症例・治療例紹介
Cases
矯正歯科治療 → インビザライン
64ページ目 / 76
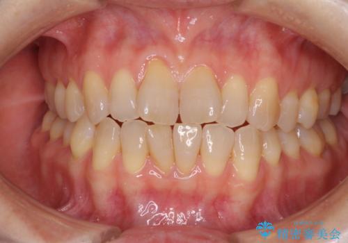
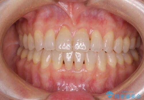
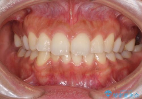
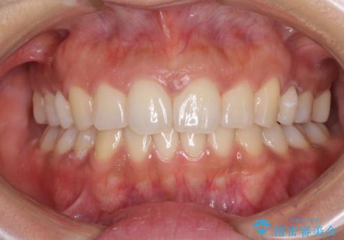
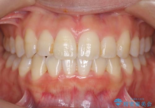
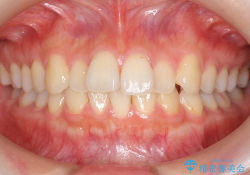
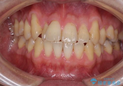
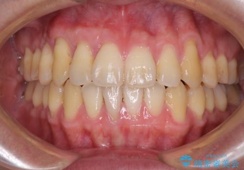
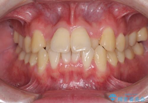
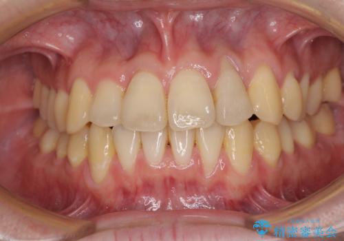
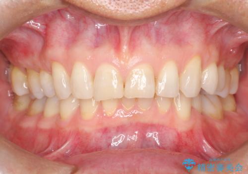
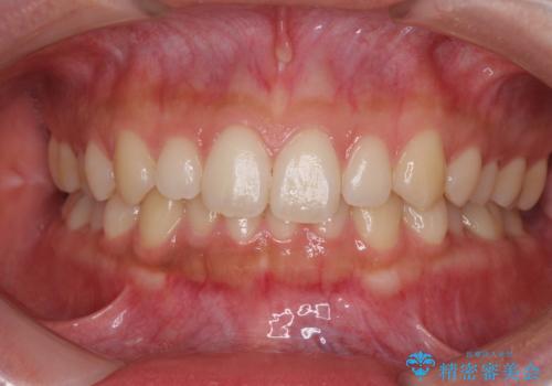
前歯の叢生と切端咬合 インビザラインによる矯正治療


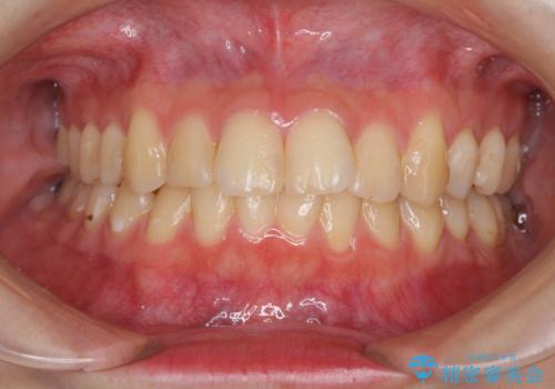
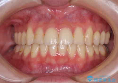
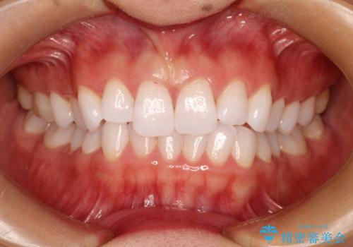
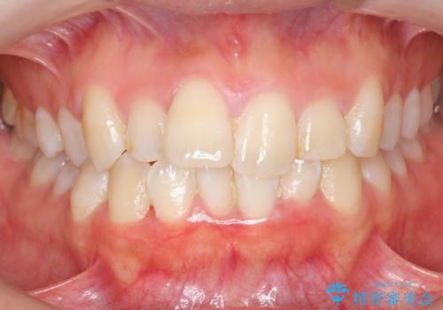
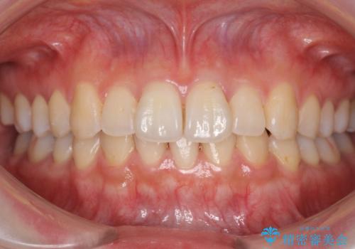
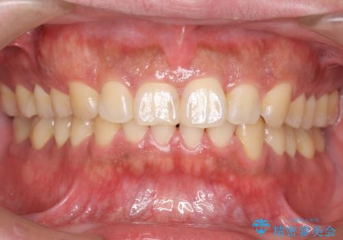
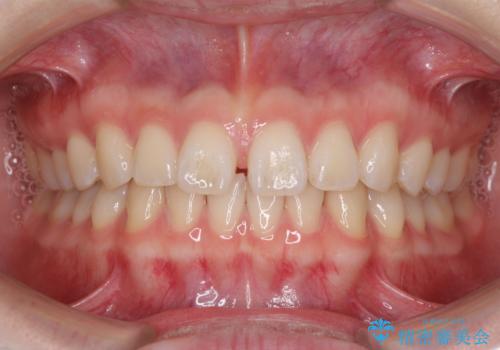
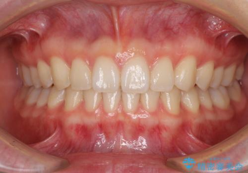
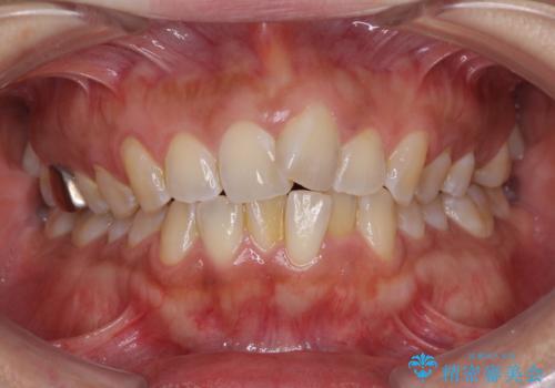
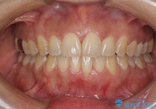
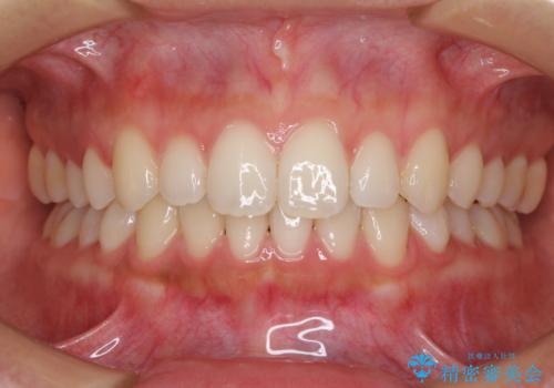
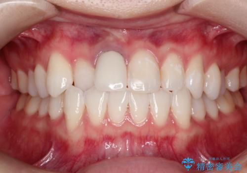
軽度な後戻りをインビザライン・ライトで改善
担当医 藤巻太一朗


抜歯矯正の後戻り インビザラインによる再矯正治療
担当医 藤巻太一朗


前歯のデコボコを治したい インビザラインによる矯正治療
担当医 藤巻太一朗


気になる前歯の歯並びをインビザラインで矯正


上下の前歯のがたつき 歯を抜かずに矯正


軽度の前歯のがたつき 下の前歯が生まれつき少ない


前歯のねじれを 1年かけずに矯正 インビザライン


矯正歯科治療と前歯の歯肉移植術


インビザラインによるすきっ歯の改善


前歯のクロスバイト インビザラインによる矯正治療


インビザラインによる狭窄歯列の拡大矯正
担当医 藤巻太一朗


上の前歯の隙間とがたつきをインビザラインできれいな歯並びへ


海外勤務中でも矯正治療 インビザラインによる軽度叢生改善
担当医 藤巻太一朗


マウスピース矯正の注意事項(リスク・副作用など)
- 口腔内・歯並びの状態によっては対応できない場合があります
- マウスピース型矯正装置の長時間装着が必須です
- 治療計画通りに進めるためには、患者様の意志が重要になります
- 矯正治療後の保定が不十分だと後戻り(元の位置に戻ろうとする動き)をします
- 自費診療(保険適用外)となります


