症例・治療例紹介
Cases
矯正歯科治療 → プラスチックブラケット
6ページ目 / 12
閉じにくい口元を抜歯矯正ですっきりと


デコボコを治したい 八重歯の抜歯矯正


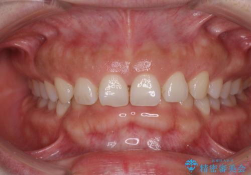
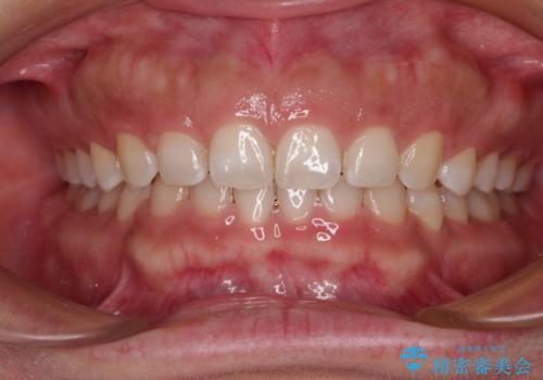
隙間が空いてデコボコした前歯を治したい ワイヤー装置による矯正治療


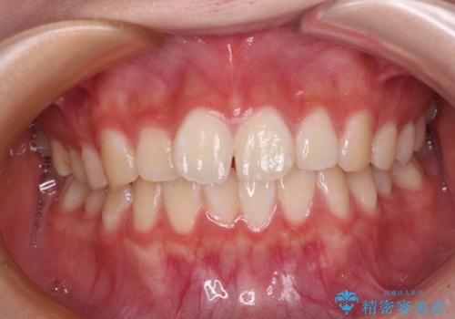
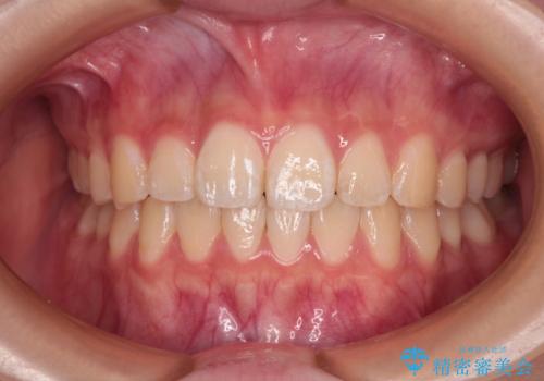
隙間とデコボコを治したい ワイヤー装置による矯正治療


【モニター】ディープバイトを治す ワイヤー装置による矯正治療


抜歯矯正で唇を閉じやすく ワイヤー矯正


口が閉じにくい ワイヤー装置での抜歯矯正


インビザラインは使える自信がない ワイヤー装置にて矯正治療
担当医 藤巻太一朗


重度叢生と埋もれた奥歯 8本を抜歯したワイヤー矯正


【モニター】口が閉じにくい 膨らんだ口元を抜歯矯正ですっきりと


親知らずを生かした矯正


【モニター】下顎前歯の2本欠損 上顎のみの抜歯でバランスを取ったワイヤー矯正


閉じにく口元と欠損歯列 ワイヤー装置の抜歯矯正


【モニター】短期間で口の閉じにくさを改善 ワイヤー装置での抜歯矯正


ワイヤー矯正歯科治療の注意事項(リスク・副作用など)
- 治療中は違和感や痛みが起こることがあります
- 症状により、抜歯が必要な場合があります
- 治療中は歯磨きがしにくくなるため、虫歯や歯周病になりやすくなります
- 矯正治療後の保定が不十分だと後戻り(元の位置に戻ろうとする動き)をします
- 自費診療(保険適用外)となります


