症例・治療例紹介
Cases
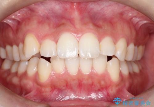
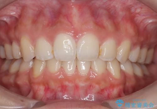
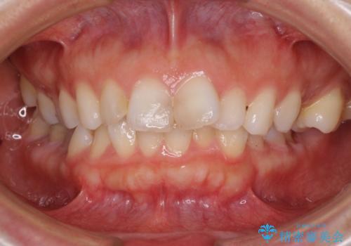
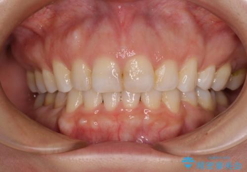
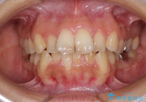
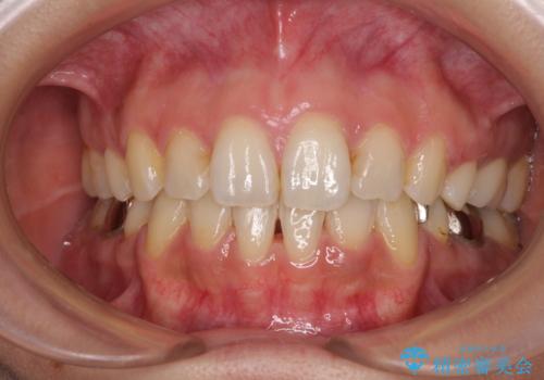
矯正歯科治療 → 上下顎前突(口ゴボ)
6ページ目 / 13
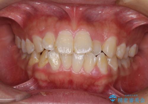
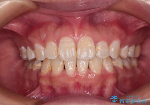
急速拡大とワイヤー抜歯矯正で唇を閉じやすく


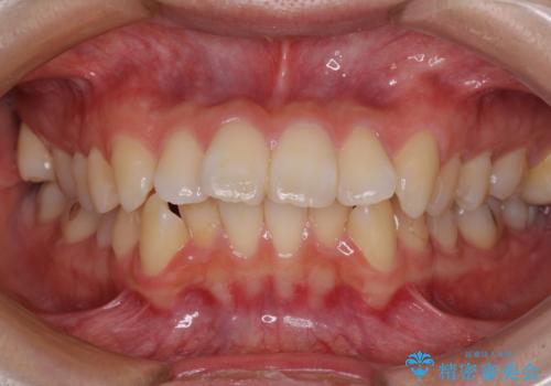
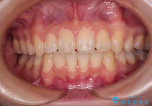
口が閉じにくい ワイヤー装置での抜歯矯正


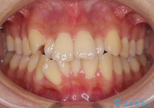
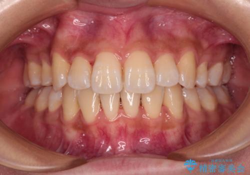
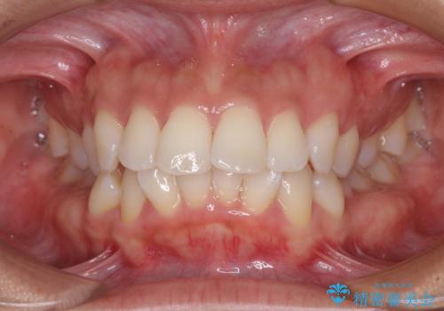
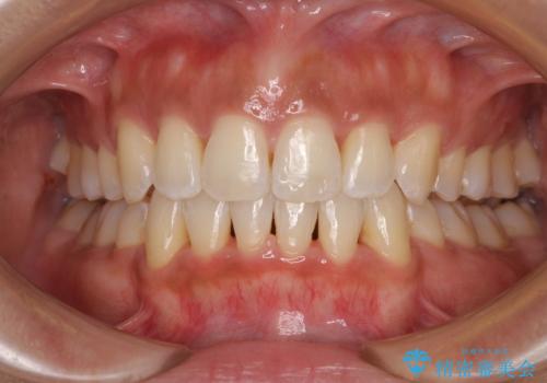
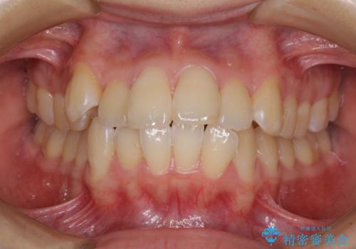
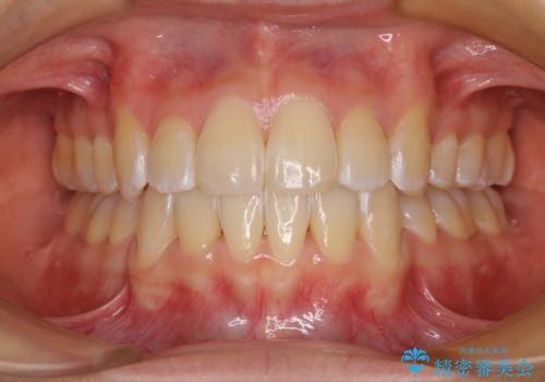
大きなむし歯の奥歯を抜歯してスペースを活用 ワイヤー装置による抜歯矯正


目立たないハーフリンガル矯正 抜歯矯正で口元の突出感を改善


すっきり感アップ! ワイヤー矯正で口元を下げて魅力的な印象に!


【モニター】口が閉じにくい 抜歯矯正で口元を引っ込める


膨らんだ口元 ワイヤー装置での抜歯矯正


口が閉じられない ワイヤー装置での抜歯矯正
担当医 藤巻太一朗


出っ歯と咬み合わせを改善 ワイヤー装置の抜歯矯正


抜歯矯正で唇を閉じやすく 目立たないワイヤー装置


デコボコと口元の突出感 ハーフリンガルでの抜歯矯正


八重歯 歯並びのがたつき


【モニター】口が閉じにくい 膨らんだ口元を抜歯矯正ですっきりと


口が閉じにくい 目立たないワイヤー装置で口元をすっきりと


重なって磨きにくい上下の前歯 ワイヤー装置での抜歯矯正


ワイヤー矯正歯科治療の注意事項(リスク・副作用など)
- 治療中は違和感や痛みが起こることがあります
- 症状により、抜歯が必要な場合があります
- 治療中は歯磨きがしにくくなるため、虫歯や歯周病になりやすくなります
- 矯正治療後の保定が不十分だと後戻り(元の位置に戻ろうとする動き)をします
- 自費診療(保険適用外)となります
マウスピース矯正の注意事項(リスク・副作用など)
- 口腔内・歯並びの状態によっては対応できない場合があります
- マウスピース型矯正装置の長時間装着が必須です
- 治療計画通りに進めるためには、患者様の意志が重要になります
- 矯正治療後の保定が不十分だと後戻り(元の位置に戻ろうとする動き)をします
- 自費診療(保険適用外)となります
