症例・治療例紹介
Cases
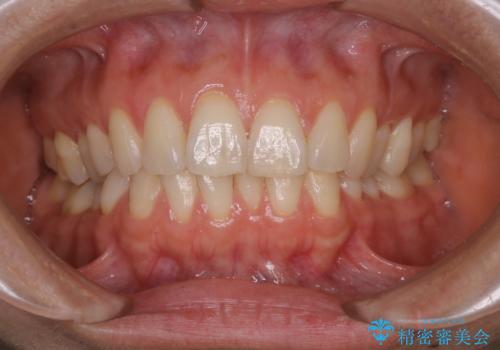
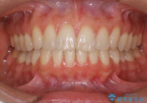
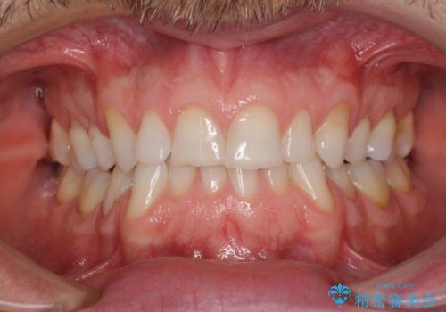
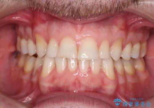
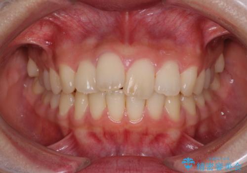
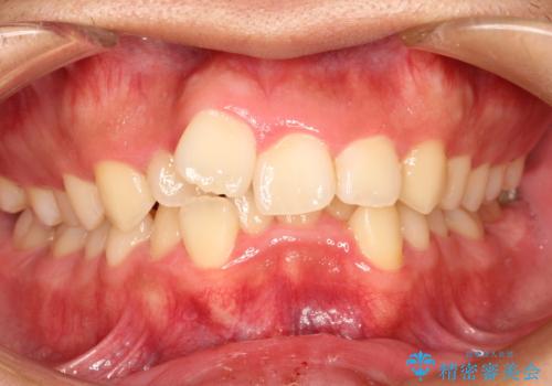
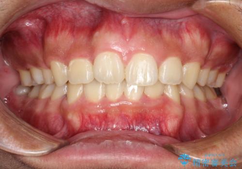
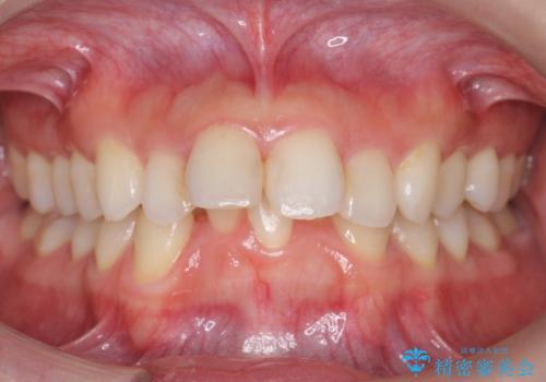
矯正歯科治療 → 叢生(でこぼこ・八重歯)
57ページ目 / 91
再矯正、後戻りを治したい、マウスピース矯正


途中で終わってしまったワイヤー治療もインビザラインで


上下の真ん中を合わせて横顔シルエットも改善


前歯のクロスバイトと抜歯が必要な奥歯の虫歯 インビザラインとインプラント治療


抜歯矯正の後戻りが気になる インビザライン・ライトによる矯正治療
担当医 藤巻太一朗


気がつくと口が開いてしまう 閉じにくい口元改善の抜歯矯正


顎が痛くなる咬み合わせが気になる 想定していなかった矯正治療を行うことに


就職前にきれいな歯並びにしたい 大学生のインビザライン矯正
担当医 藤巻太一朗


インビザラインを用いた非抜歯矯正
担当医 藤巻太一朗


前歯が磨きにくい 目立たないワイヤー装置による矯正治療


目立ちにくい抜歯矯正 ハーフリンガル


重度のガタガタ ワイヤーによる抜歯矯正


インビザラインチェンジで成功 インビザラインで八重歯の抜歯矯正


前歯が気になる 大人のマウスピース矯正 矮小歯を整える


出っ歯 下の歯のガタガタ 下の前歯のみ1本抜歯 マウスピースで1年


ワイヤー矯正歯科治療の注意事項(リスク・副作用など)
- 治療中は違和感や痛みが起こることがあります
- 症状により、抜歯が必要な場合があります
- 治療中は歯磨きがしにくくなるため、虫歯や歯周病になりやすくなります
- 矯正治療後の保定が不十分だと後戻り(元の位置に戻ろうとする動き)をします
- 自費診療(保険適用外)となります
マウスピース矯正の注意事項(リスク・副作用など)
- 口腔内・歯並びの状態によっては対応できない場合があります
- マウスピース型矯正装置の長時間装着が必須です
- 治療計画通りに進めるためには、患者様の意志が重要になります
- 矯正治療後の保定が不十分だと後戻り(元の位置に戻ろうとする動き)をします
- 自費診療(保険適用外)となります
