症例・治療例紹介
Cases
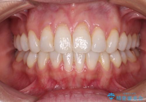
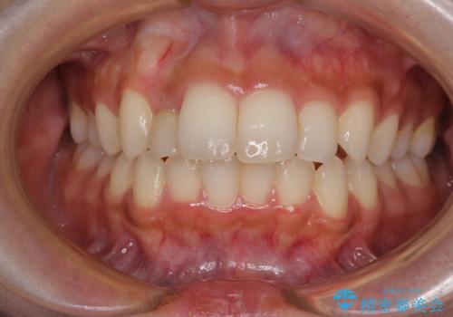
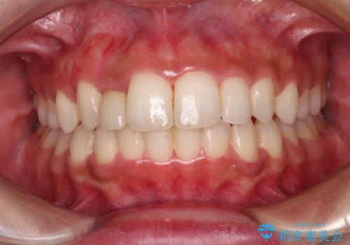
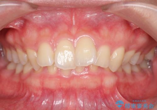
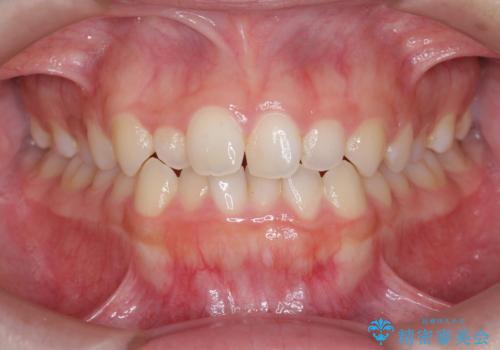
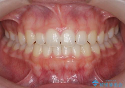
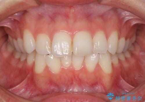
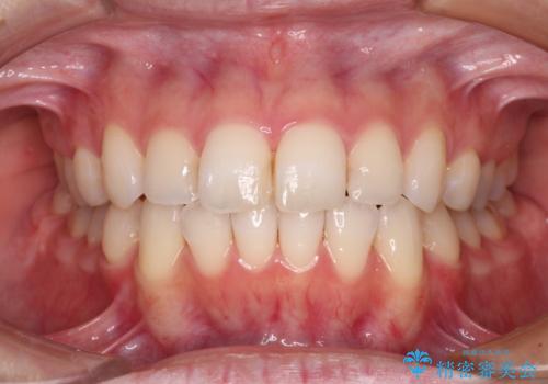
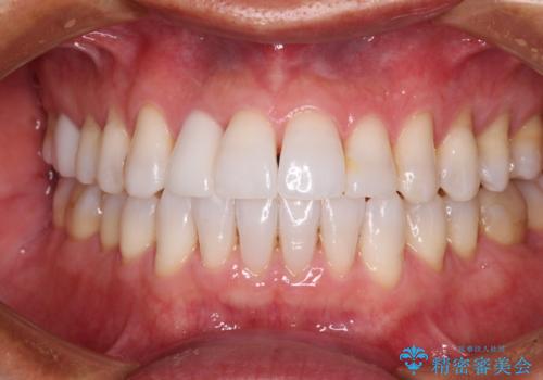
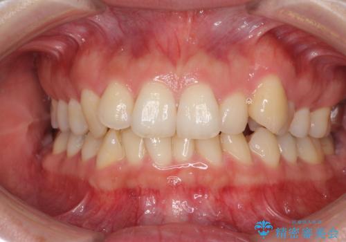
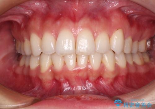
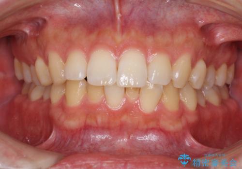
矯正歯科治療 → 叢生(でこぼこ・八重歯)
54ページ目 / 91
少しだけ飛び出た前歯を整えたい インビザラインによる矯正治療


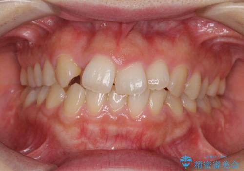
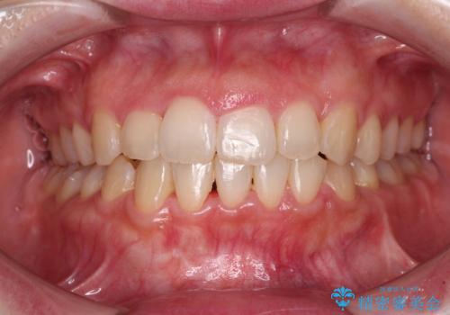
重度のガタガタ ハーフリンガルによる目立たない抜歯矯正


受け口傾向の咬み合わせ 前歯のデコボコをワイヤー矯正で素早く改善


抜けてしまうと言われた前歯 インビザラインによる矯正治療
担当医 藤巻太一朗


深いかみ合わせ 出っ歯の治療 インビザラインで


前歯のガタつき・ねじれを治すマウスピース矯正


見た目だけじゃない:マウスピースでも短期間で噛み合わせと口元を改善


飛び出した前歯と黄ばんだ歯 ホワイトニングしながらマウスピース矯正


後戻りした歯並びをきれいにしたい


変則的な抜歯矯正 八重歯を抜いてしまった人のワイヤー矯正
担当医 藤巻太一朗


【モニター】前歯のデコボコをインビザラインできれいに整える
担当医 藤巻太一朗


治療途中の前歯を治したい インビザライン矯正とオールセラミッククラウン


入国制限で帰国できず 海外出張中のインビザライン矯正
担当医 藤巻太一朗


前歯のデコボコと突出感 インビザラインにて矯正治療
担当医 藤巻太一朗


奥歯の銀歯と歯並びを改善 歯周外科治療と矯正治療を行った総合歯科診療


ワイヤー矯正歯科治療の注意事項(リスク・副作用など)
- 治療中は違和感や痛みが起こることがあります
- 症状により、抜歯が必要な場合があります
- 治療中は歯磨きがしにくくなるため、虫歯や歯周病になりやすくなります
- 矯正治療後の保定が不十分だと後戻り(元の位置に戻ろうとする動き)をします
- 自費診療(保険適用外)となります
マウスピース矯正の注意事項(リスク・副作用など)
- 口腔内・歯並びの状態によっては対応できない場合があります
- マウスピース型矯正装置の長時間装着が必須です
- 治療計画通りに進めるためには、患者様の意志が重要になります
- 矯正治療後の保定が不十分だと後戻り(元の位置に戻ろうとする動き)をします
- 自費診療(保険適用外)となります
