症例・治療例紹介
Cases
矯正歯科治療 → インビザライン
53ページ目 / 76
上下の真ん中を合わせて横顔シルエットも改善


前歯のクロスバイトと抜歯が必要な奥歯の虫歯 インビザラインとインプラント治療


抜歯矯正の後戻りが気になる インビザライン・ライトによる矯正治療
担当医 藤巻太一朗


下の歯が前に出てしまう咬み合わせを治したい インビザラインによる矯正治療


顎が痛くなる咬み合わせが気になる 想定していなかった矯正治療を行うことに


就職前にきれいな歯並びにしたい 大学生のインビザライン矯正
担当医 藤巻太一朗


インビザラインを用いた非抜歯矯正
担当医 藤巻太一朗


転んで前歯が欠けた 折れた前歯をきっかけに矯正治療で歯列をきれいに整える


急速拡大装置で奥歯の咬み合わせを改善 インビザラインによる矯正治療


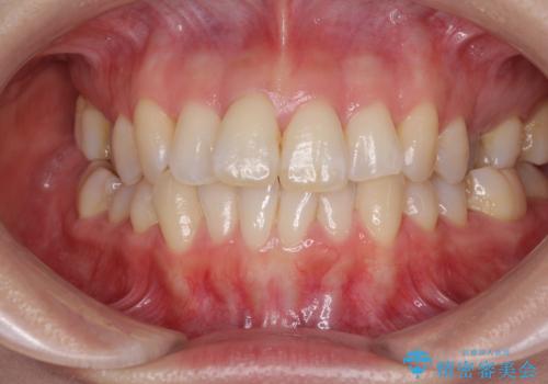
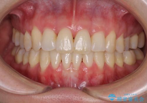
[ 矯正と補綴、総合歯科治療 ] クロスバイトを避ける前歯部審美ブリッジ
![[ 矯正と補綴、総合歯科治療 ] クロスバイトを避ける前歯部審美ブリッジの症例 治療前](https://seimitsushinbi.jp/wp/wp-content/uploads/2021/07/IMG_9914-500x350.jpg?v=1626697179)
![[ 矯正と補綴、総合歯科治療 ] クロスバイトを避ける前歯部審美ブリッジの症例 治療後](https://seimitsushinbi.jp/wp/wp-content/uploads/2021/07/fcd77503a97e2f3a648f6e8698e34626-500x350.jpg?v=1626697051)
インビザラインチェンジで成功 インビザラインで八重歯の抜歯矯正


前歯が気になる 大人のマウスピース矯正 矮小歯を整える


出っ歯 下の歯のガタガタ 下の前歯のみ1本抜歯 マウスピースで1年


下の前歯が1本短い インビザラインと部分矯正の組み合わせ


マウスピース矯正の注意事項(リスク・副作用など)
- 口腔内・歯並びの状態によっては対応できない場合があります
- マウスピース型矯正装置の長時間装着が必須です
- 治療計画通りに進めるためには、患者様の意志が重要になります
- 矯正治療後の保定が不十分だと後戻り(元の位置に戻ろうとする動き)をします
- 自費診療(保険適用外)となります


