症例・治療例紹介
Cases
矯正歯科治療 → 叢生(でこぼこ・八重歯)
53ページ目 / 91
前歯の矮小歯 奥歯の反対咬合 をインビザラインで


非抜歯でも劇的変化 インビザライン矯正治療


短期間でも見た目が変わる!インビザラインのスピード治療


ワイヤー装置の抜歯矯正で横顔の口元の印象をすっきりと


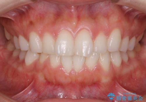
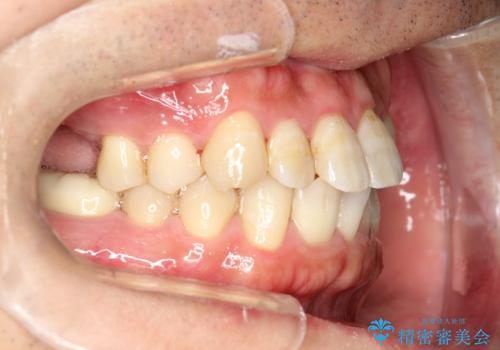
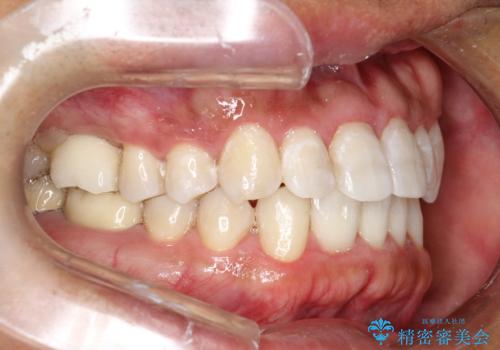
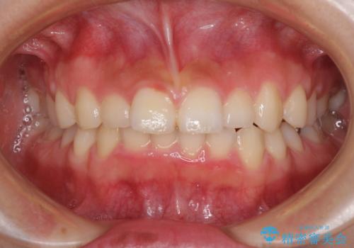
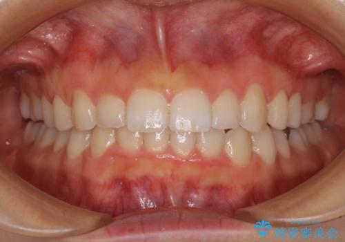
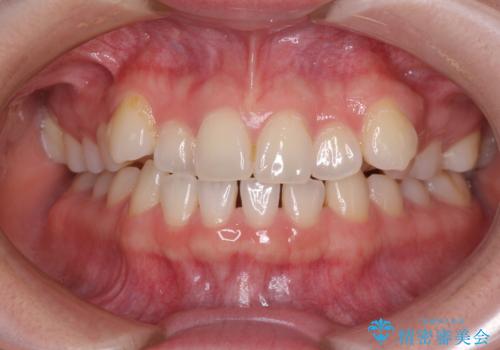
[ ワイヤー矯正 ]噛み合わせが悪く気になる
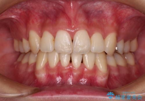
![[ ワイヤー矯正 ]噛み合わせが悪く気になるの症例 治療前](https://seimitsushinbi.jp/wp/wp-content/uploads/2021/12/3f8858279fdcc395331e5bff7d888075-1-500x350.jpg?v=1639374036)
![[ ワイヤー矯正 ]噛み合わせが悪く気になるの症例 治療後](https://seimitsushinbi.jp/wp/wp-content/uploads/2021/12/6a04ac803a8252fa7fb638efbbd3941e-500x350.jpg?v=1639373705)
インビザライン矯正治療とインプラント治療 同時並行での全体治療


【モニター】前歯のデコボコと奥歯の虫歯 インビザライン治療と奥歯のセラミック治療


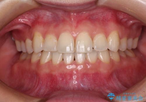
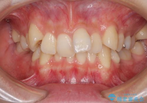
[ インビザラインライト ] 短期間で前歯だけを並べたい
担当医 大元洋佑
![[ インビザラインライト ] 短期間で前歯だけを並べたいの症例 治療前](https://seimitsushinbi.jp/wp/wp-content/uploads/2021/11/IMG_0327-1-500x350.jpg?v=1637929834)
![[ インビザラインライト ] 短期間で前歯だけを並べたいの症例 治療後](https://seimitsushinbi.jp/wp/wp-content/uploads/2021/11/IMG_9985-500x350.jpg?v=1637929923)
前歯のデコボコと突出感 インビザラインによる矯正治療
担当医 藤巻太一朗


インビザラインによる矯正治療と、折れてしまった歯のインプラント補綴治療


下の前歯が隠れてしまうほど深い咬み合わせ 高校生のインビザライン矯正治療


内側にある歯が邪魔 重なった前歯の歯列矯正


奥歯の欠損を放置 大臼歯を抜歯した矯正治療


前歯の歯並びを治したい ワイヤー装置での抜歯矯正
担当医 藤巻太一朗


インビザライン単独では困難 補助装置を併用した矯正治療


ワイヤー矯正歯科治療の注意事項(リスク・副作用など)
- 治療中は違和感や痛みが起こることがあります
- 症状により、抜歯が必要な場合があります
- 治療中は歯磨きがしにくくなるため、虫歯や歯周病になりやすくなります
- 矯正治療後の保定が不十分だと後戻り(元の位置に戻ろうとする動き)をします
- 自費診療(保険適用外)となります
マウスピース矯正の注意事項(リスク・副作用など)
- 口腔内・歯並びの状態によっては対応できない場合があります
- マウスピース型矯正装置の長時間装着が必須です
- 治療計画通りに進めるためには、患者様の意志が重要になります
- 矯正治療後の保定が不十分だと後戻り(元の位置に戻ろうとする動き)をします
- 自費診療(保険適用外)となります
