症例・治療例紹介
Cases
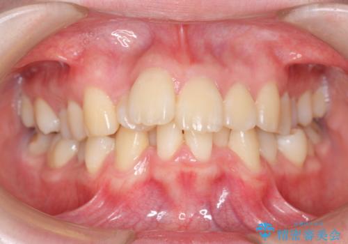
矯正歯科治療 → 叢生(でこぼこ・八重歯)
51ページ目 / 91
下顎2前歯の欠損 インビザラインによる抜歯矯正


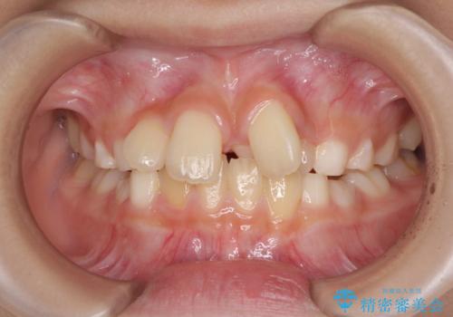
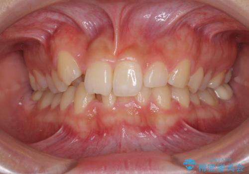
[ マウスピース矯正 ] 前歯のねじれを治したい
![[ マウスピース矯正 ] 前歯のねじれを治したいの症例 治療前](https://seimitsushinbi.jp/wp/wp-content/uploads/2022/01/IMG_1344-500x350.jpg?v=1641871025)
![[ マウスピース矯正 ] 前歯のねじれを治したいの症例 治療後](https://seimitsushinbi.jp/wp/wp-content/uploads/2022/01/IMG_0069-500x350.jpg?v=1641870943)
インビザラインで 抜歯矯正


30代女性 前歯のがたつき


20代女性 前から5番目の歯を抜歯


顕著な八重歯をインビザラインで治せるところまで改善


抜歯矯正で閉じにくかった口を閉じやすく改善


インビザラインが続けられない ワイヤー装置による抜歯矯正


目立たないハーフリンガル矯正 抜歯矯正で口元を改善


飛び出した前歯を引っ込めたい 目立たないワイヤーでの抜歯矯正


過剰歯を抜歯して前歯を排列 インビザライン・ファーストによる小学生のⅠ期治療
担当医 藤巻太一朗


気になる八重歯を改善 補助装置併用のインビザライン治療
担当医 藤巻太一朗


【モニター】犬歯のクロスバイトを目立たないワイヤー装置で


補助装置を使ったインビザラインによる抜歯矯正


八重歯の抜歯矯正 補助装置を用いたインビザライン矯正
担当医 藤巻太一朗


ワイヤー矯正歯科治療の注意事項(リスク・副作用など)
- 治療中は違和感や痛みが起こることがあります
- 症状により、抜歯が必要な場合があります
- 治療中は歯磨きがしにくくなるため、虫歯や歯周病になりやすくなります
- 矯正治療後の保定が不十分だと後戻り(元の位置に戻ろうとする動き)をします
- 自費診療(保険適用外)となります
マウスピース矯正の注意事項(リスク・副作用など)
- 口腔内・歯並びの状態によっては対応できない場合があります
- マウスピース型矯正装置の長時間装着が必須です
- 治療計画通りに進めるためには、患者様の意志が重要になります
- 矯正治療後の保定が不十分だと後戻り(元の位置に戻ろうとする動き)をします
- 自費診療(保険適用外)となります
