症例・治療例紹介
Cases
矯正歯科治療 → インビザライン
47ページ目 / 76
インビザライン・ライトでの抜歯矯正治療 (スリーインサイザー仕上げ)
担当医 福本健生


オープンバイト(開咬)を非抜歯インビザラインで治す


部分矯正とインビザラインを組み合わせて短期間での矯正治療


光加速矯正装置(オルソパルス)を用いた短期間での矯正治療


下顎2前歯の欠損 インビザラインによる抜歯矯正


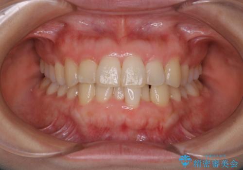
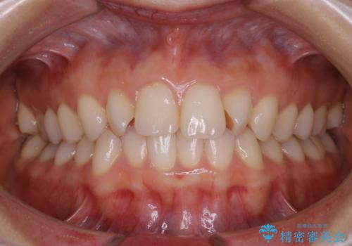
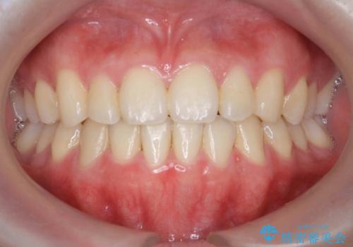
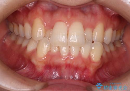
[ マウスピース矯正 ] 前歯のねじれを治したい
![[ マウスピース矯正 ] 前歯のねじれを治したいの症例 治療前](https://seimitsushinbi.jp/wp/wp-content/uploads/2022/01/IMG_1344-500x350.jpg?v=1641871025)
![[ マウスピース矯正 ] 前歯のねじれを治したいの症例 治療後](https://seimitsushinbi.jp/wp/wp-content/uploads/2022/01/IMG_0069-500x350.jpg?v=1641870943)
歯並びの改善とインプラントでのかみ合わせの回復 インプラント・セラミック・矯正全顎治療


インビザラインで 抜歯矯正


30代女性 前歯のがたつき


顕著な八重歯をインビザラインで治せるところまで改善


インビザラインが続けられない ワイヤー装置による抜歯矯正


マウスピース矯正の注意事項(リスク・副作用など)
- 口腔内・歯並びの状態によっては対応できない場合があります
- マウスピース型矯正装置の長時間装着が必須です
- 治療計画通りに進めるためには、患者様の意志が重要になります
- 矯正治療後の保定が不十分だと後戻り(元の位置に戻ろうとする動き)をします
- 自費診療(保険適用外)となります





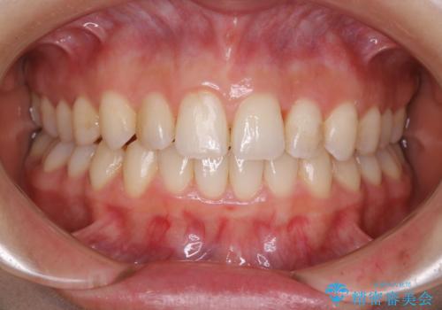
![[ 前歯のガタつきを治す ]マウスピース矯正インビザラインの症例 治療前](https://seimitsushinbi.jp/wp/wp-content/uploads/2022/01/IMG_0237-500x350.jpg?v=1642039695)
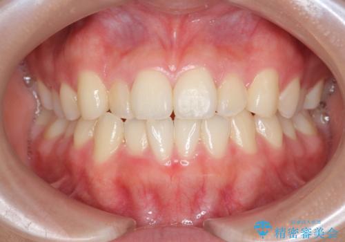
![[ 前歯のガタつきを治す ]マウスピース矯正インビザラインの症例 治療後](https://seimitsushinbi.jp/wp/wp-content/uploads/2022/01/IMG_9999-500x350.jpg?v=1642039754)

