症例・治療例紹介
Cases
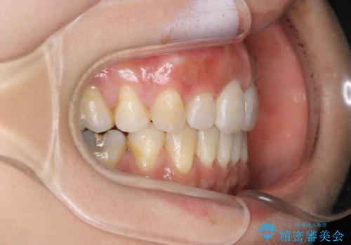
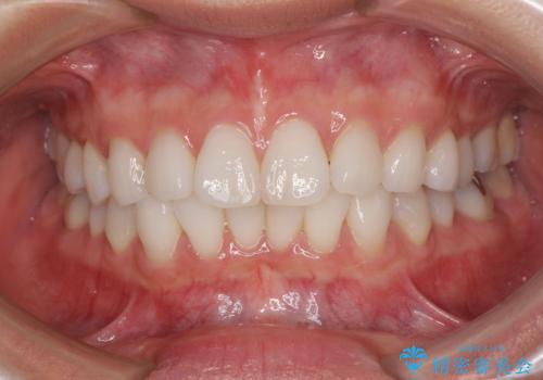
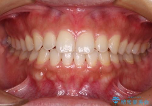
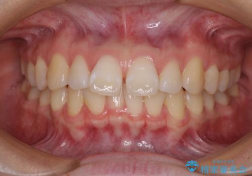
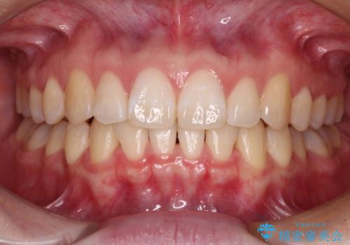
矯正歯科治療 → 叢生(でこぼこ・八重歯)
44ページ目 / 91
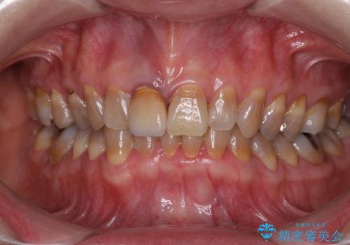
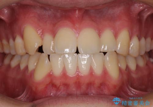
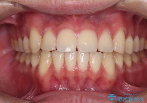
出っ歯で口が閉じずらい ワイヤー抜歯矯正


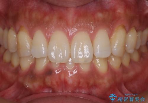
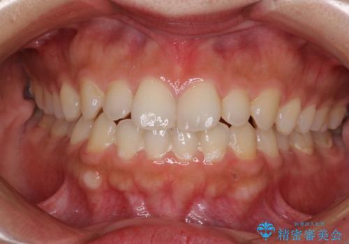
海外で仕事をしながらインビザラインで矯正治療
担当医 藤巻太一朗


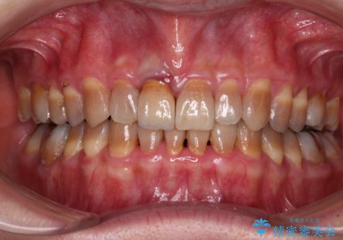
飛び出た前歯をインビザラインで綺麗に引っ込めた症例


コンプレックスだった・・・唇が閉じなかった口元。綺麗になりました。


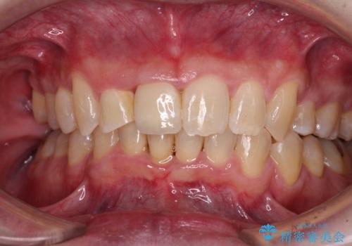
前歯のデコボコと奥歯のクロスバイト インビザラインで改善


『目立たない装置で前歯のガタガタを治したい』インビザライン症例


『前歯のすき間を短期間で治したい』インビザライン(枚数制限あり)症例


気になる八重歯を目立たない装置で改善 ハーフリンガル矯正


インビザラインを用いた上顎の部分矯正
担当医 藤巻太一朗


咬み合わせを治したい インビザラインによる矯正治療
担当医 藤巻太一朗


著しい八重歯が気になる インビザラインでの矯正治療


前歯が折れたついでに歯並びも改善 矯正治療と前歯のセラミック治療


【モニター】すきっ歯をインビザラインで解消
担当医 藤巻太一朗


【モニター】気になる八重歯を素早く改善 ワイヤー装置での抜歯矯正


八重歯と前歯のクロスバイト ワイヤー装置で短期間矯正


ワイヤー矯正歯科治療の注意事項(リスク・副作用など)
- 治療中は違和感や痛みが起こることがあります
- 症状により、抜歯が必要な場合があります
- 治療中は歯磨きがしにくくなるため、虫歯や歯周病になりやすくなります
- 矯正治療後の保定が不十分だと後戻り(元の位置に戻ろうとする動き)をします
- 自費診療(保険適用外)となります
マウスピース矯正の注意事項(リスク・副作用など)
- 口腔内・歯並びの状態によっては対応できない場合があります
- マウスピース型矯正装置の長時間装着が必須です
- 治療計画通りに進めるためには、患者様の意志が重要になります
- 矯正治療後の保定が不十分だと後戻り(元の位置に戻ろうとする動き)をします
- 自費診療(保険適用外)となります
