症例・治療例紹介
Cases
矯正歯科治療 → インビザライン
41ページ目 / 76
犬歯のねじれ 上の歯が引っ込んでいる


引っ込んだ前歯を並べる 歯を抜かないマウスピース矯正


下の八重歯 歯を抜かずに インビザライン治療
担当医 井上季実子


インビザラインで前歯のガタガタをきれいな歯並びへ


前歯の目立ったすき間 マウスピース矯正で目立たなくします


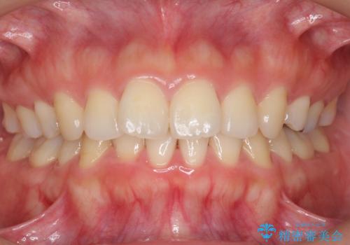
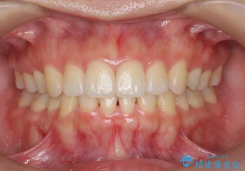
[ インビザライン ]飛び出た前歯を抜かずに矯正治療
担当医 大元洋佑
![[ インビザライン ]飛び出た前歯を抜かずに矯正治療の症例 治療前](https://seimitsushinbi.jp/wp/wp-content/uploads/2022/06/7254b4eb4b8ea41de1dd2bc51ff78413-500x350.jpg?v=1654152589)
![[ インビザライン ]飛び出た前歯を抜かずに矯正治療の症例 治療後](https://seimitsushinbi.jp/wp/wp-content/uploads/2022/06/850be265eb99a1449c8e8c58e0a1e184-500x350.jpg?v=1654152540)
前歯のがたがた気になる インビザラインによる矯正治療


歯ぐき、骨が薄い方のマウスピース矯正治療 非抜歯でもIPR(歯を削る処置)で口元に変化を


すきっ歯が気になる:見た目も噛み合わせもインビザラインでまとめて治す


押しつぶされた歯列、アーチの拡大だけで非抜歯で改善した症例


前歯の重なりとガタガタをマウスピースで改善した症例
担当医 奥村高広


マウスピース矯正の注意事項(リスク・副作用など)
- 口腔内・歯並びの状態によっては対応できない場合があります
- マウスピース型矯正装置の長時間装着が必須です
- 治療計画通りに進めるためには、患者様の意志が重要になります
- 矯正治療後の保定が不十分だと後戻り(元の位置に戻ろうとする動き)をします
- 自費診療(保険適用外)となります



![[ マウスピース矯正 ] 出っ歯を改善したいの症例 治療前](https://seimitsushinbi.jp/wp/wp-content/uploads/2022/05/IMG_9992-500x350.jpg?v=1652959204)
![[ マウスピース矯正 ] 出っ歯を改善したいの症例 治療後](https://seimitsushinbi.jp/wp/wp-content/uploads/2022/05/IMG_9620-500x350.jpg?v=1652959169)
![[ インビザラインライト ] 短期間でリーズナブルなマウスピース矯正治療の症例 治療前](https://seimitsushinbi.jp/wp/wp-content/uploads/2022/05/IMG_1456-500x350.jpg?v=1652939511)
![[ インビザラインライト ] 短期間でリーズナブルなマウスピース矯正治療の症例 治療後](https://seimitsushinbi.jp/wp/wp-content/uploads/2022/05/IMG_9964-500x350.jpg?v=1652939452)

