症例・治療例紹介
Cases
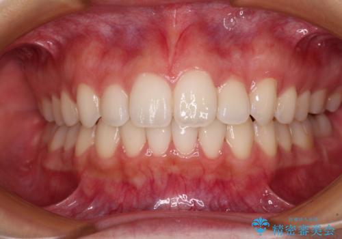
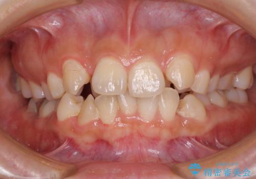
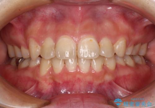
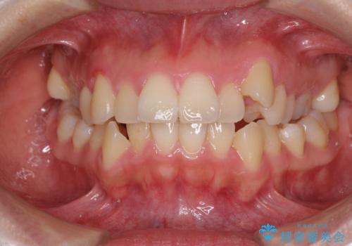
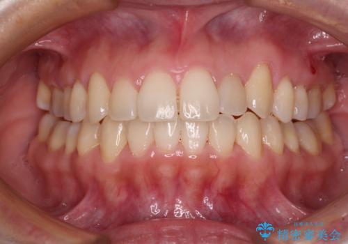
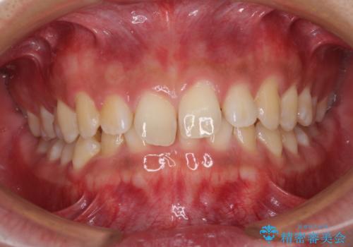
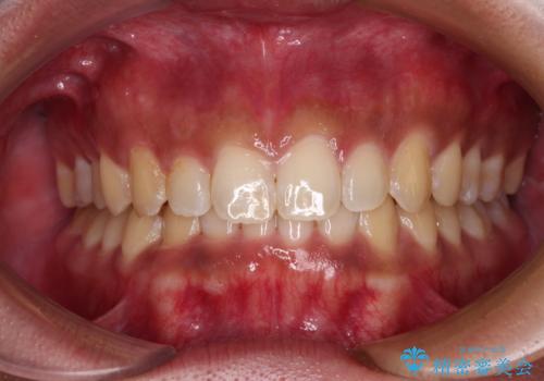
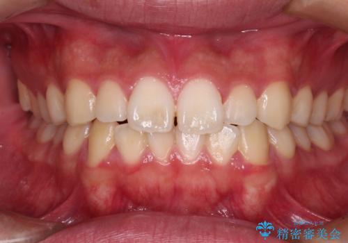
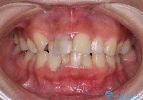
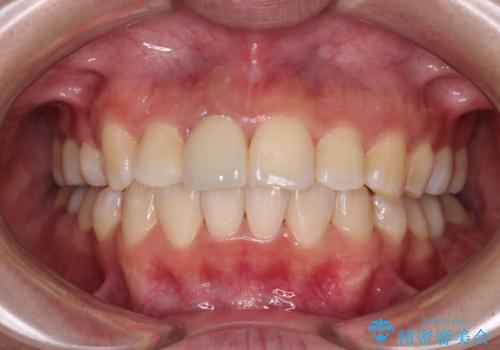
矯正歯科治療 → 叢生(でこぼこ・八重歯)
40ページ目 / 91
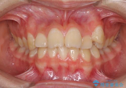
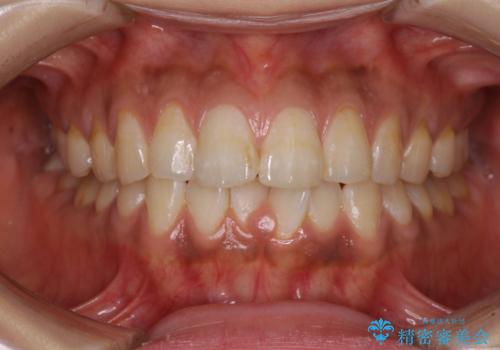
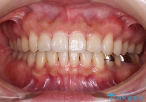
目立つ八重歯を治したい インビザラインによる矯正治療


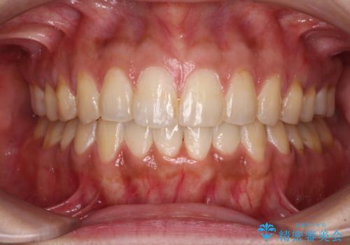
前歯の反対咬合 急速拡大装置とワイヤー装置であっという間の矯正治療


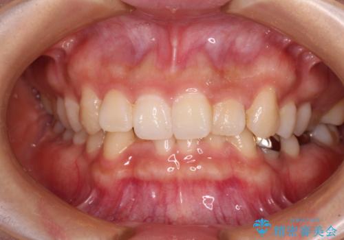
上下前歯の前歯と腫れやすい歯肉 インビザライン矯正で改善


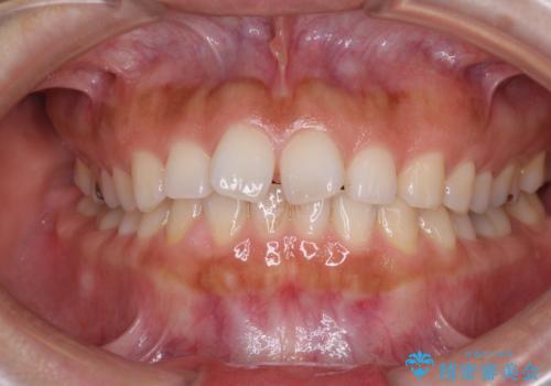
ディープバイトとデコボコを解消 インビザライン矯正


閉じにくい口元と八重歯 ワイヤー装置での抜歯矯正


隙間の空いた前歯を閉じたい インビザライン矯正


【モニター】前歯のクロスバイトをインビザラインで治療
担当医 藤巻太一朗


見えないほど重なっている前歯 抜歯矯正でスッキリとした歯並びに
担当医 藤巻太一朗


気になる前歯を短期間で改善 下顎の部分矯正と上顎のオールセラミッククラウン


狭い歯列を拡大 拡大装置を併用したインビザライン矯正


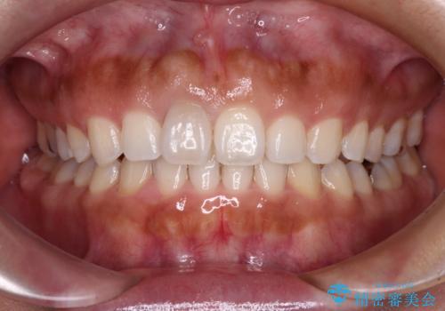
デコボコとディープバイトを治したい インビザラインによる矯正治療


軽微叢生をインビザラインで 廉価版パッケージでの矯正治療
担当医 藤巻太一朗


虫歯と抜いたままの奥歯とデコボコの前歯 総合歯科治療


早くて安くて楽ちん メタルブラケットでの矯正治療
担当医 藤巻太一朗


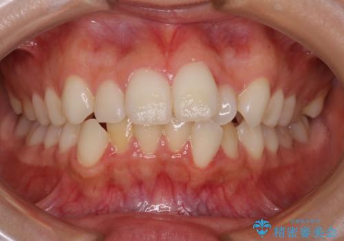
前歯のがたつき 深い噛み合わせを改善したい


ワイヤー矯正歯科治療の注意事項(リスク・副作用など)
- 治療中は違和感や痛みが起こることがあります
- 症状により、抜歯が必要な場合があります
- 治療中は歯磨きがしにくくなるため、虫歯や歯周病になりやすくなります
- 矯正治療後の保定が不十分だと後戻り(元の位置に戻ろうとする動き)をします
- 自費診療(保険適用外)となります
マウスピース矯正の注意事項(リスク・副作用など)
- 口腔内・歯並びの状態によっては対応できない場合があります
- マウスピース型矯正装置の長時間装着が必須です
- 治療計画通りに進めるためには、患者様の意志が重要になります
- 矯正治療後の保定が不十分だと後戻り(元の位置に戻ろうとする動き)をします
- 自費診療(保険適用外)となります
