症例・治療例紹介
Cases
矯正歯科治療 → プラスチックブラケット
4ページ目 / 12
八重歯 歯を抜かずにインビザラインで


指が入るくらいに隙間のある上下前歯 抜歯矯正で横顔の印象が大きく改善


前に飛び出した上顎前歯をスッキリと引っ込める ワイヤー装置での矯正治療


出っ歯を治したい ワイヤー装置での抜歯矯正で劇的変化!


がたつき、口ゴボ(出っ歯)、真ん中のずれを抜歯矯正治療で治す。ワイヤー矯正治療


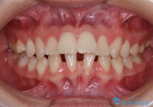
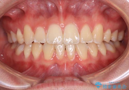
がたつきが強いガチャ歯。埋伏歯抜歯+矯正。すごいところに犬歯が埋まっていたのを抜いてワイヤー矯正治療


唇からはみ出るほど飛び出した前歯 ワイヤー装置による抜歯矯正


前歯と奥歯の反対咬合 部分ワイヤーとインビザラインで


【モニター】口が閉じにくい 膨らんだ口元を抜歯矯正ですっきりと


前歯が2本ない ワイヤー装置での抜歯矯正


人の印象は歯並びから! 実は…美容医療より効果抜群!! コスパ重視ならすきっ歯の矯正治療


前歯のがたつき、中に入ってしまっている 部分矯正で低予算で


難症例 奥歯がかみ合っていない 歯並び矯正で別人に


インビザラインとワイヤー矯正の併用で綺麗な歯並びに!


ワイヤー矯正 抜歯本数を最小限にし、八重歯のない歯並びに


ワイヤー矯正歯科治療の注意事項(リスク・副作用など)
- 治療中は違和感や痛みが起こることがあります
- 症状により、抜歯が必要な場合があります
- 治療中は歯磨きがしにくくなるため、虫歯や歯周病になりやすくなります
- 矯正治療後の保定が不十分だと後戻り(元の位置に戻ろうとする動き)をします
- 自費診療(保険適用外)となります
