症例・治療例紹介
Cases
矯正歯科治療 → 部分矯正
4ページ目 / 14
インビザライン ライトパッケージによる部分矯正治療 下の前歯のみの歯並び改善


ワイヤー部分矯正治療を併用したマウスピース矯正治療


受け口傾向のマウスピース矯正 (ワイヤー治療を併用して)


放置したインプラントとインビザライン 全顎リカバリー治療


[ インビザラインライトプラン ] 費用を抑えた下顎前歯の小矯正
担当医 大元洋佑
![[ インビザラインライトプラン ] 費用を抑えた下顎前歯の小矯正の症例 治療前](https://seimitsushinbi.jp/wp/wp-content/uploads/2023/05/C6-500x350.jpg?v=1684138587)
![[ インビザラインライトプラン ] 費用を抑えた下顎前歯の小矯正の症例 治療後](https://seimitsushinbi.jp/wp/wp-content/uploads/2023/05/C19.1-2-500x350.jpg?v=1684138479)
前歯をきれいにしたい インプラントや部分矯正を用いた総合歯科治療


転んで前歯を折った 歯を抜かない治療
担当医 岡田康成


転んで欠けてしまった前歯 抜歯を回避してオールセラミッククラウンで審美回復


[ インビザラインライト ] 14枚で行う前歯のみの短期間マウスピース矯正
担当医 大元洋佑
![[ インビザラインライト ] 14枚で行う前歯のみの短期間マウスピース矯正の症例 治療前](https://seimitsushinbi.jp/wp/wp-content/uploads/2023/03/IMG_0816.1-500x350.jpg?v=1678679756)
![[ インビザラインライト ] 14枚で行う前歯のみの短期間マウスピース矯正の症例 治療後](https://seimitsushinbi.jp/wp/wp-content/uploads/2023/03/IMG_0012.1-500x350.jpg?v=1678679708)
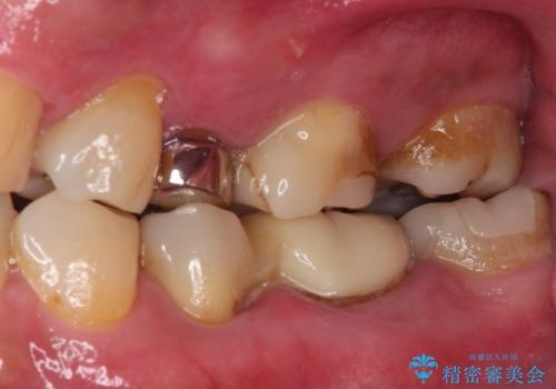
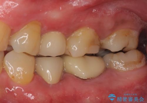
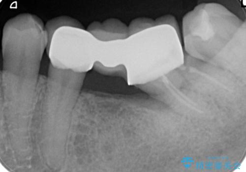
詰め物の外れてしまった奥歯 部分矯正で歯列を整えてから補綴治療


抜歯と言われた歯 部分矯正と歯周外科処置で抜かずに保存


ワイヤー矯正歯科治療の注意事項(リスク・副作用など)
- 治療中は違和感や痛みが起こることがあります
- 症状により、抜歯が必要な場合があります
- 治療中は歯磨きがしにくくなるため、虫歯や歯周病になりやすくなります
- 矯正治療後の保定が不十分だと後戻り(元の位置に戻ろうとする動き)をします
- 自費診療(保険適用外)となります
マウスピース矯正の注意事項(リスク・副作用など)
- 口腔内・歯並びの状態によっては対応できない場合があります
- マウスピース型矯正装置の長時間装着が必須です
- 治療計画通りに進めるためには、患者様の意志が重要になります
- 矯正治療後の保定が不十分だと後戻り(元の位置に戻ろうとする動き)をします
- 自費診療(保険適用外)となります








