症例・治療例紹介
Cases
矯正歯科治療 → 開咬(オープンバイト)
4ページ目 / 8
前歯でものを噛みきりたい 目立たない装置でのワイヤー矯正


【モニター】飛び出た前歯を整えたい ワイヤー矯正治療


左右の八重歯が気になる ワイヤー装置での咬み合わせ改善


八重歯 歯並びのがたつき


【モニター】狭い上顎歯列とオープンバイト 急速拡大装置を用いた矯正治療


前歯の突出感と上下の隙間 インビザラインによる矯正治療


上下非接触で突出した前歯 ワイヤー装置による抜歯矯正


歯が全く咬みあわない 矯正と補綴の全顎治療


【モニター】隙間だらけの前歯を治したい インビザラインによる矯正治療


前歯で物を噛みきれない マウスピース矯正で改善


乳歯残存と欠損の前歯 矯正治療とオールセラミックブリッジ治療


ちょっとしたデコボコをしっかりと改善したい インビザライン矯正


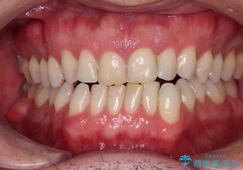
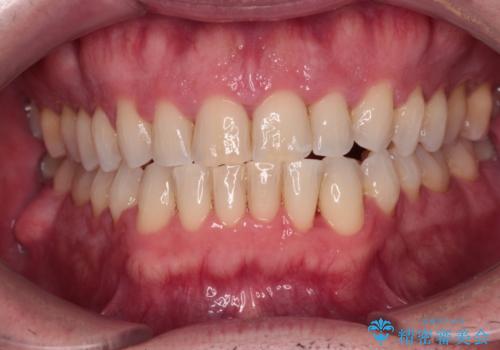
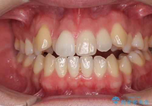
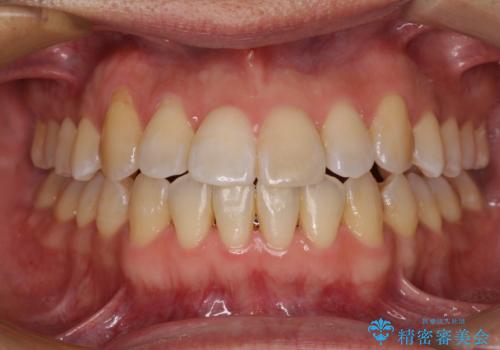
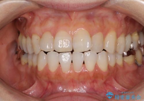
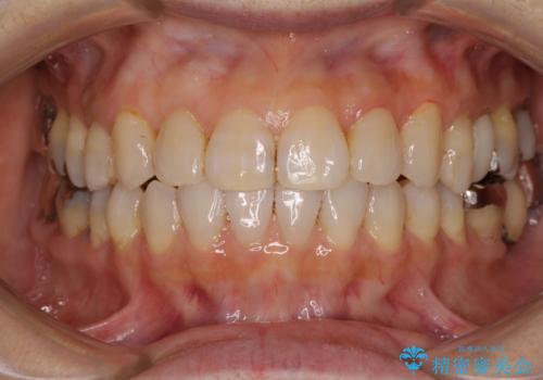
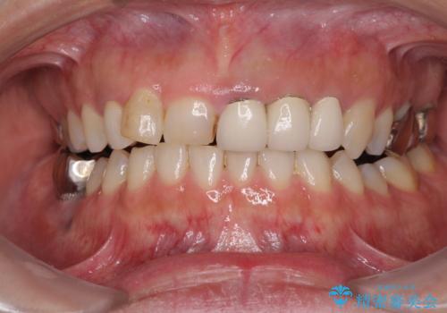
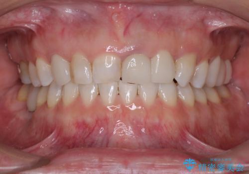
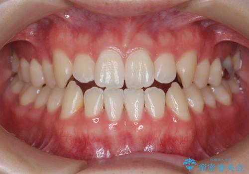
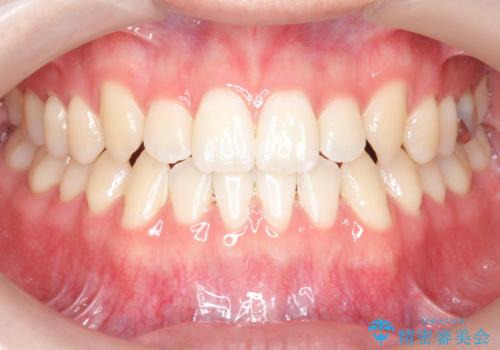
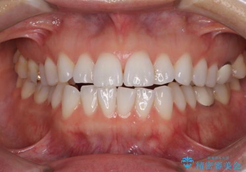
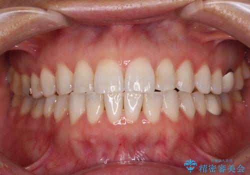
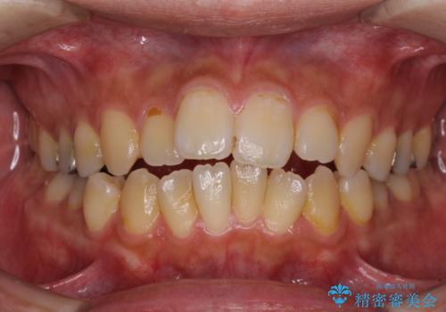
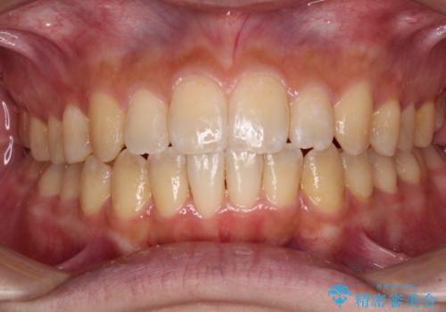
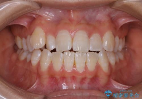
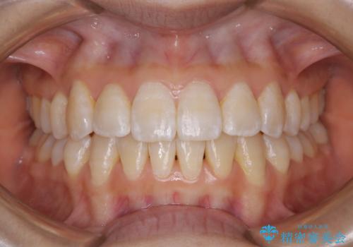
[ 前歯開咬 ] 前歯が噛んでいない マウスピース矯正治療
担当医 大元洋佑
![[ 前歯開咬 ] 前歯が噛んでいない マウスピース矯正治療の症例 治療前](https://seimitsushinbi.jp/wp/wp-content/uploads/2022/11/IMG_4669-500x350.jpg?v=1668218426)
![[ 前歯開咬 ] 前歯が噛んでいない マウスピース矯正治療の症例 治療後](https://seimitsushinbi.jp/wp/wp-content/uploads/2022/11/IMG_2488-500x350.jpg?v=1668218373)
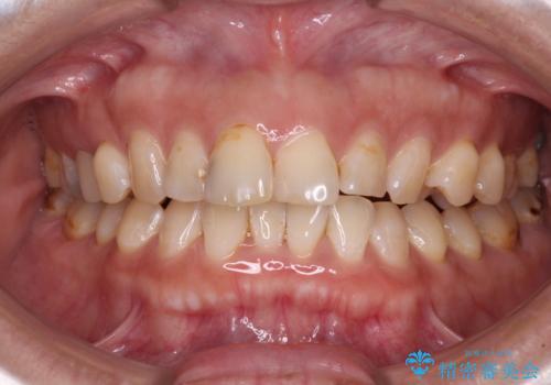
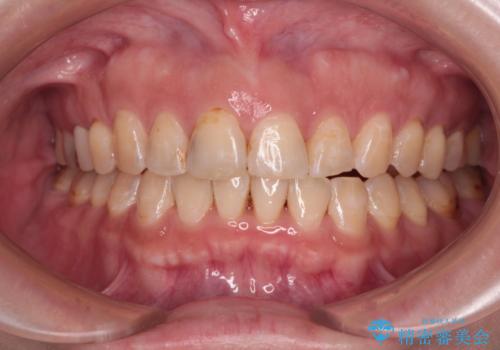
オープンバイトと目立つ銀歯 インビザライン矯正とセラミック修復治療


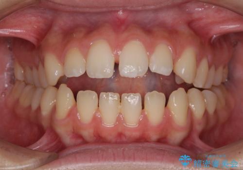
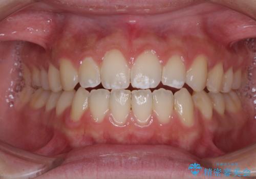
前歯のがたつきとオープンバイト:インビザラインでまとめて治す


ワイヤー矯正歯科治療の注意事項(リスク・副作用など)
- 治療中は違和感や痛みが起こることがあります
- 症状により、抜歯が必要な場合があります
- 治療中は歯磨きがしにくくなるため、虫歯や歯周病になりやすくなります
- 矯正治療後の保定が不十分だと後戻り(元の位置に戻ろうとする動き)をします
- 自費診療(保険適用外)となります
マウスピース矯正の注意事項(リスク・副作用など)
- 口腔内・歯並びの状態によっては対応できない場合があります
- マウスピース型矯正装置の長時間装着が必須です
- 治療計画通りに進めるためには、患者様の意志が重要になります
- 矯正治療後の保定が不十分だと後戻り(元の位置に戻ろうとする動き)をします
- 自費診療(保険適用外)となります
