症例・治療例紹介
Cases
矯正歯科治療 → 審美装置
31ページ目 / 39
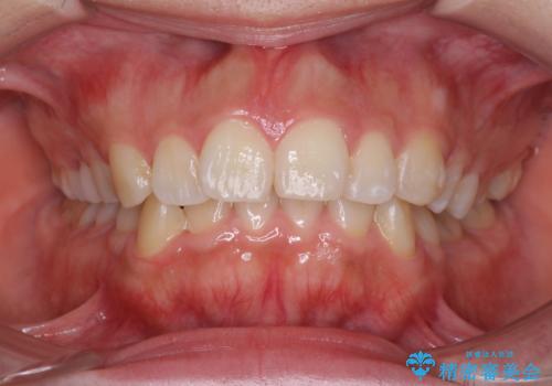
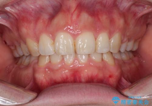
40代女性 前歯の重なり あきらめずに矯正
担当医 井上季実子


セラミックと矯正を併用してきれいな前歯へ


前歯で引っ込んでいる歯がある 他院で矯正200万と言われた


前歯のすきま 右上の小臼歯の垂直的骨吸収を抜歯で解決


がたがたと出っ歯を直したい ワイヤーによる抜歯矯正


上顎の骨を拡大 非抜歯による八重歯の矯正治療


重度のガタつき 表のワイヤー矯正


口元出てるのが気になる ワイヤーでの抜歯矯正で口元をすっきりと


王道・従来のワイヤー矯正 表の装置で手早くきれいな歯並びを


30代女性 抜かない矯正 出っ歯 低位歯を並べました


ディープバイトを改善したい 目立たないワイヤー矯正


重度歯周炎の歯を抜歯してワイヤー矯正を 変則的なかみ合わせで仕上げる


反対咬合 矯正歯科治療と審美歯科治療によりきれいな口元へ


ワイヤー矯正歯科治療の注意事項(リスク・副作用など)
- 治療中は違和感や痛みが起こることがあります
- 症状により、抜歯が必要な場合があります
- 治療中は歯磨きがしにくくなるため、虫歯や歯周病になりやすくなります
- 矯正治療後の保定が不十分だと後戻り(元の位置に戻ろうとする動き)をします
- 自費診療(保険適用外)となります




