症例・治療例紹介
Cases
矯正歯科治療 → 部分矯正
3ページ目 / 14
他院で3年以上かかると言われた八重歯を半年できれいに


正中のズレ、引っ込んだ前歯の矯正


抜歯と言われた前歯 牽引してセラミッククラウンで保存する


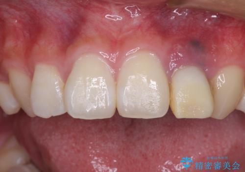
変色した前歯をきれいにしたい 部分矯正を併用した前歯の審美歯科治療


[ 前歯のねじれ改善 ] 中学生に行う早期マウスピース矯正治療
担当医 大元洋佑
![[ 前歯のねじれ改善 ] 中学生に行う早期マウスピース矯正治療の症例 治療前](https://seimitsushinbi.jp/wp/wp-content/uploads/2023/12/9a0cc629a357b9cff4cd22d0eeeae9ee-500x350.jpg?v=1703040792)
![[ 前歯のねじれ改善 ] 中学生に行う早期マウスピース矯正治療の症例 治療後](https://seimitsushinbi.jp/wp/wp-content/uploads/2023/12/IMG_3953-500x350.jpg?v=1703040866)
[前歯のねじれ・がたつきを治したい ]ワイヤーとマウスピースの併用矯正治療
![[前歯のねじれ・がたつきを治したい ]ワイヤーとマウスピースの併用矯正治療の症例 治療前](https://seimitsushinbi.jp/wp/wp-content/uploads/2023/11/IMG_0010-1-500x350.jpg?v=1699509973)
![[前歯のねじれ・がたつきを治したい ]ワイヤーとマウスピースの併用矯正治療の症例 治療後](https://seimitsushinbi.jp/wp/wp-content/uploads/2023/11/1c93ab7139a768f1f61b6dd35aac7324-500x350.jpg?v=1699510065)
【非抜歯】部分矯正でも治る 前歯の反対咬合


【非抜歯】部分矯正で自信の持てる歯並びへ


【非抜歯】前歯のガタつき マウスピースの部分矯正


【非抜歯】噛み合わせを整えたい! インビザライン矯正


部分矯正とセラミッククラウンですきっ歯・矮小歯を効率的に治す


インビザラインで行う前歯のみの部分矯正


2級ディープバイト 遠心移動を伴うマウスピース矯正


歯のがたつき 4本抜歯を回避してマウスピース矯正へ


[ 鋏状咬合・過蓋咬合・上顎前突 ] 前歯のガタつき、噛みあわせのズレを矯正治療で改善
![[ 鋏状咬合・過蓋咬合・上顎前突 ] 前歯のガタつき、噛みあわせのズレを矯正治療で改善の症例 治療前](https://seimitsushinbi.jp/wp/wp-content/uploads/2023/08/IMG_7266-500x350.jpg?v=1692932833)
![[ 鋏状咬合・過蓋咬合・上顎前突 ] 前歯のガタつき、噛みあわせのズレを矯正治療で改善の症例 治療後](https://seimitsushinbi.jp/wp/wp-content/uploads/2023/08/IMG_3482-500x350.jpg?v=1692932951)
ワイヤー矯正歯科治療の注意事項(リスク・副作用など)
- 治療中は違和感や痛みが起こることがあります
- 症状により、抜歯が必要な場合があります
- 治療中は歯磨きがしにくくなるため、虫歯や歯周病になりやすくなります
- 矯正治療後の保定が不十分だと後戻り(元の位置に戻ろうとする動き)をします
- 自費診療(保険適用外)となります
マウスピース矯正の注意事項(リスク・副作用など)
- 口腔内・歯並びの状態によっては対応できない場合があります
- マウスピース型矯正装置の長時間装着が必須です
- 治療計画通りに進めるためには、患者様の意志が重要になります
- 矯正治療後の保定が不十分だと後戻り(元の位置に戻ろうとする動き)をします
- 自費診療(保険適用外)となります
