症例・治療例紹介
Cases
矯正歯科治療 → ハーフリンガル
3ページ目 / 5
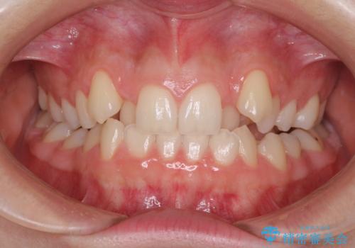
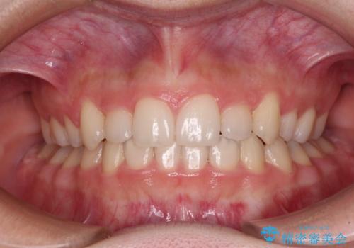
目立つ八重歯を目立たない装置で ハーフリンガルによる抜歯矯正
担当医 藤巻太一朗


目立たないハーフリンガル矯正 抜歯矯正で口元を改善


重度のガタガタ ハーフリンガルによる目立たない抜歯矯正


後戻りした歯並びをきれいにしたい


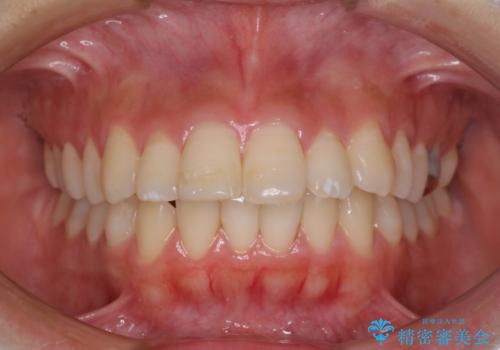
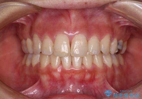
目立たない装置で横顔のシルエットを改善 ハーフリンガルでの抜歯矯正
担当医 藤巻太一朗


目立ちにくい抜歯矯正 ハーフリンガル


口元が出てるの気になる ハーフリンガルによる抜歯矯正での横顔改善


歯が前に出てて、口が閉じない 抜歯矯正による口元の改善


ハーフリンガル 反対咬合の改善


目立たない裏側矯正 抜歯矯正で口元を改善


前歯のガタガタと出っ歯が気になる ハーフリンガルによる抜歯矯正


ハーフリンガル矯正 抜歯をして前歯を下げる


ハーフリンガル抜歯矯正 八重歯を改善する


ハーフリンガル ワイヤー矯正による非抜歯・過蓋咬合の治療


ワイヤー矯正歯科治療の注意事項(リスク・副作用など)
- 治療中は違和感や痛みが起こることがあります
- 症状により、抜歯が必要な場合があります
- 治療中は歯磨きがしにくくなるため、虫歯や歯周病になりやすくなります
- 矯正治療後の保定が不十分だと後戻り(元の位置に戻ろうとする動き)をします
- 自費診療(保険適用外)となります


