症例・治療例紹介
Cases
矯正歯科治療 → インビザライン
27ページ目 / 76
インビザラインによる矯正治療(非抜歯) 上下前歯の開き(開咬)と上下のガタつき(叢生)の改善


インビザラインによる矯正治療(非抜歯) 下の前歯の歯並びの改善


歯茎が薄い方へのインビザライン治療、歯肉退縮予防


インビザライン、非抜歯でここまでできる。補助装置との組み合わせで顎のゆがみとかみ合わせを治す


美しい口元へ、短期間で綺麗な歯並びに変身


マウスピース矯正で素敵な笑顔に変身!前歯のガタツキを治しました


マウスピース矯正で自然な笑顔を実現! 前歯の咬み合わせを治しました。


インビザラインで自然な美しさへ、前歯のガタツキを改善しました


前歯のガタツキ、前歯の噛み合わせ(開咬)をインビザライン治療で治しました


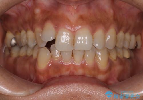
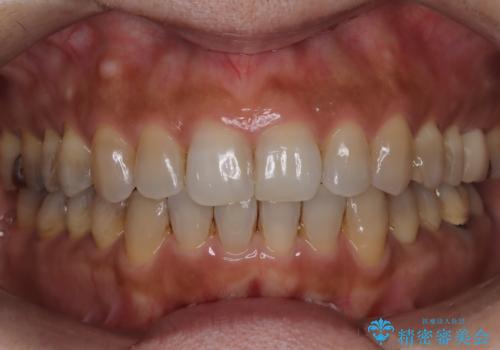
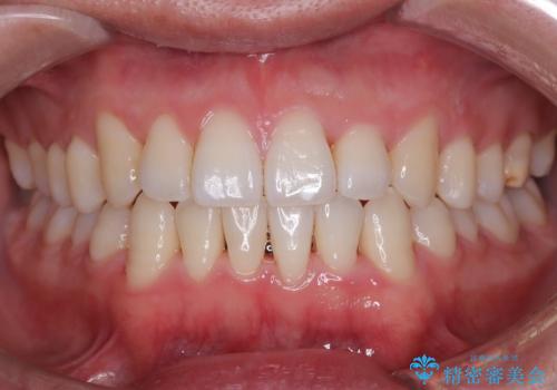
[ マウスピース矯正 ] ねじれた前歯を治したい
担当医 大元洋佑
![[ マウスピース矯正 ] ねじれた前歯を治したいの症例 治療前](https://seimitsushinbi.jp/wp/wp-content/uploads/2023/07/C1-500x350.jpg?v=1688699909)
![[ マウスピース矯正 ] ねじれた前歯を治したいの症例 治療後](https://seimitsushinbi.jp/wp/wp-content/uploads/2023/07/4f8e567351417c8c07a394c61f063944-500x350.jpg?v=1688699937)
ワイヤー部分矯正治療を併用したマウスピース矯正治療


前歯がねじれている 奥歯を後ろに下げて歯を抜かずに並べました


他3軒で4本抜いてワイヤー矯正と言われた 1本の抜歯でマウスピース矯正で治療可能です


マウスピース矯正の注意事項(リスク・副作用など)
- 口腔内・歯並びの状態によっては対応できない場合があります
- マウスピース型矯正装置の長時間装着が必須です
- 治療計画通りに進めるためには、患者様の意志が重要になります
- 矯正治療後の保定が不十分だと後戻り(元の位置に戻ろうとする動き)をします
- 自費診療(保険適用外)となります



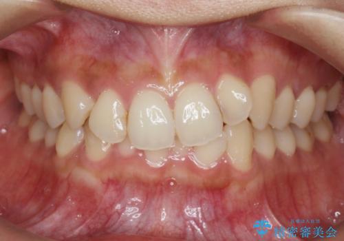
![[ インビザライン ライトプラン ] 約3ヶ月で終わらせる矯正治療の症例 治療前](https://seimitsushinbi.jp/wp/wp-content/uploads/2023/07/IMG_0508-500x350.jpg?v=1688696604)
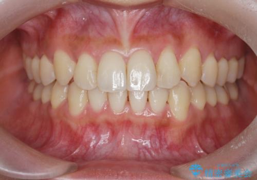
![[ インビザライン ライトプラン ] 約3ヶ月で終わらせる矯正治療の症例 治療後](https://seimitsushinbi.jp/wp/wp-content/uploads/2023/07/IMG_9878-500x350.jpg?v=1688696532)