症例・治療例紹介
Cases
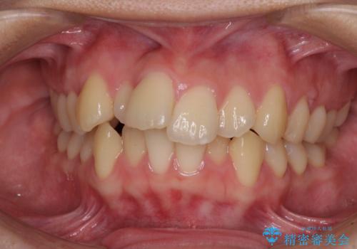
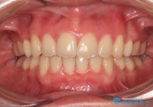
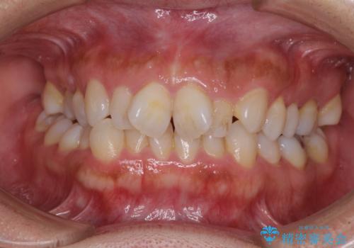
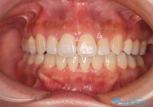
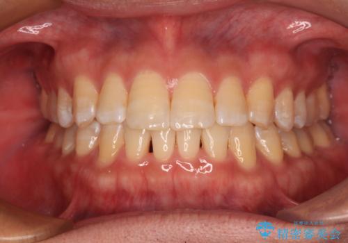
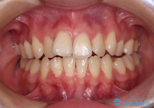
矯正歯科治療 → 叢生(でこぼこ・八重歯)
25ページ目 / 91
【非抜歯】ガタつきと歯軸を正して長持ちする歯へ


【モニター】前歯のデコボコをインビザラインで改善
担当医 藤巻太一朗


深い咬み合わせとデコボコの歯列をワイヤー矯正で改善


出っ歯と八重歯 目立たない裏側装置でスッキリとした口元に


【モニター】横顔のシルエットをスッキリと ワイヤー装置による抜歯矯正治療


既に2本が抜歯されている歯列 咬み合わせのズレを改善する抜歯矯正
担当医 藤巻太一朗


【モニター】楽して治したい メタルブラケットによる矯正治療
担当医 藤巻太一朗


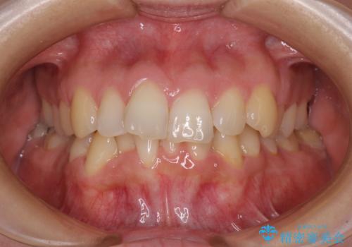
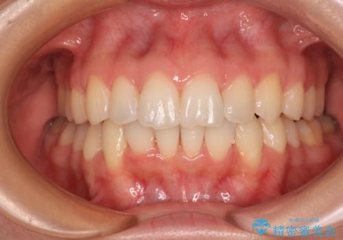
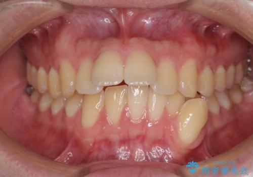
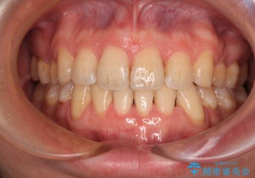
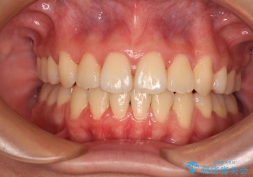
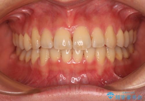
[ マウスピース矯正 ] 出っ歯に見える前歯を改善したい
![[ マウスピース矯正 ] 出っ歯に見える前歯を改善したいの症例 治療前](https://seimitsushinbi.jp/wp/wp-content/uploads/2023/10/IMG_6858-500x350.jpg?v=1697014973)
![[ マウスピース矯正 ] 出っ歯に見える前歯を改善したいの症例 治療後](https://seimitsushinbi.jp/wp/wp-content/uploads/2023/10/8a6c9bf89570c0c75da0a5fabd1cd70e-500x350.jpg?v=1697014858)
インビザラインで行う前歯のみの部分矯正


2級ディープバイト 遠心移動を伴うマウスピース矯正


【モニター】舌のトレーニングを行いながら後戻りの再矯正
担当医 藤巻太一朗


手間をかけずに治したい 短期間のワイヤー矯正


前歯のデコボコを整える インビザラインによる矯正治療
担当医 藤巻太一朗


正中のズレと飛び出した前歯を改善 メタルブラケットでの抜歯矯正


八重歯と乱れた咬み合わせを改善 ワイヤー装置での抜歯矯正


ワイヤー矯正歯科治療の注意事項(リスク・副作用など)
- 治療中は違和感や痛みが起こることがあります
- 症状により、抜歯が必要な場合があります
- 治療中は歯磨きがしにくくなるため、虫歯や歯周病になりやすくなります
- 矯正治療後の保定が不十分だと後戻り(元の位置に戻ろうとする動き)をします
- 自費診療(保険適用外)となります
マウスピース矯正の注意事項(リスク・副作用など)
- 口腔内・歯並びの状態によっては対応できない場合があります
- マウスピース型矯正装置の長時間装着が必須です
- 治療計画通りに進めるためには、患者様の意志が重要になります
- 矯正治療後の保定が不十分だと後戻り(元の位置に戻ろうとする動き)をします
- 自費診療(保険適用外)となります
