症例・治療例紹介
Cases
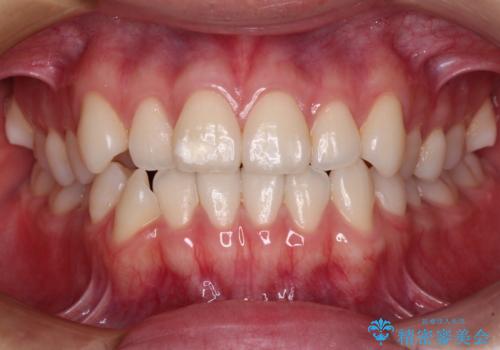
矯正歯科治療 → 叢生(でこぼこ・八重歯)
21ページ目 / 91
ねじれた前歯を改善するマウスピース矯正


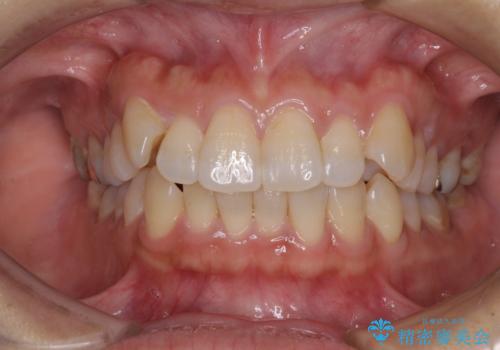
歯列から飛び出た歯 ワイヤー矯正で整った歯列に


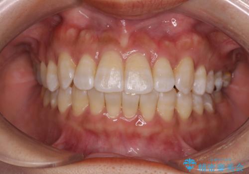
ハーフリンガルで歯列をきれいに セラミック治療で気になる銀歯も自然な色に


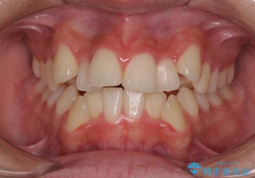
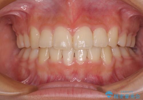
気になる下顎歯列のみをインビザラインで部分矯正
担当医 藤巻太一朗


痛むむし歯と小さい歯とデコボコ むし歯治療と矯正治療を並行した総合歯科治療


上下前歯のデコボコ ワイヤー装置で楽して改善
担当医 藤巻太一朗


咬み合わせの乱れを改善 ワイヤー装置で楽々矯正治療
担当医 藤巻太一朗


気になる八重歯 ワイヤー装置での非抜歯矯正


上顎骨幅が狭い 急速拡大装置を併用した抜歯矯正


開咬とデコボコを整える インビザライン矯正治療


デコボコと変色した前歯 抜歯矯正と審美歯科治療


【ワイヤー矯正】前歯のがたがたをなおしたい
担当医 河口智英


【インビザライン】八重歯が気になる
担当医 河口智英


出っ歯をしっかり引っ込めたい


変色した前歯をきれいにしたい 部分矯正を併用した前歯の審美歯科治療


ワイヤー矯正歯科治療の注意事項(リスク・副作用など)
- 治療中は違和感や痛みが起こることがあります
- 症状により、抜歯が必要な場合があります
- 治療中は歯磨きがしにくくなるため、虫歯や歯周病になりやすくなります
- 矯正治療後の保定が不十分だと後戻り(元の位置に戻ろうとする動き)をします
- 自費診療(保険適用外)となります
マウスピース矯正の注意事項(リスク・副作用など)
- 口腔内・歯並びの状態によっては対応できない場合があります
- マウスピース型矯正装置の長時間装着が必須です
- 治療計画通りに進めるためには、患者様の意志が重要になります
- 矯正治療後の保定が不十分だと後戻り(元の位置に戻ろうとする動き)をします
- 自費診療(保険適用外)となります
